Antibody data
- Antibody Data
- Antigen structure
- References [0]
- Comments [0]
- Validations
- Western blot [1]
- Immunocytochemistry [1]
- Immunohistochemistry [5]
Submit
Validation data
Reference
Comment
Report error
- Product number
- GTX32948 - Provider product page

- Provider
- GeneTex
- Product name
- UGDH antibody
- Antibody type
- Polyclonal
- Reactivity
- Human, Mouse, Rat
- Host
- Rabbit
No comments: Submit comment
Supportive validation
- Submitted by
- GeneTex (provider)
- Main image

- Experimental details
- Western blot analysis of HepG2 cell and HeLa cell lysate using UGDH antibody.
Supportive validation
- Submitted by
- GeneTex (provider)
- Main image

- Experimental details
- Immunofluorescence analysis of HeLa cell using UGDH antibody. Blue: DAPI for nuclear staining.
Supportive validation
- Submitted by
- GeneTex (provider)
- Main image

- Experimental details
- Immunohistochemistry of paraffin-embedded rat liver using UGDH antibody at dilution of 1:100 (400x lens).
- Submitted by
- GeneTex (provider)
- Main image

- Experimental details
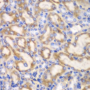
- Immunohistochemistry of paraffin-embedded rat kidney using UGDH antibody at dilution of 1:100 (400x lens).
- Submitted by
- GeneTex (provider)
- Main image

- Experimental details
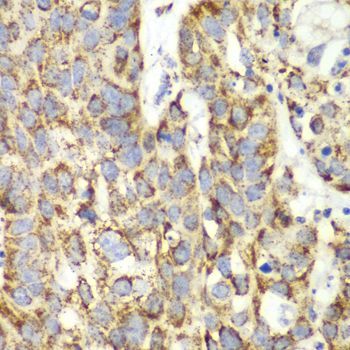
- Immunohistochemistry of paraffin-embedded human lung cancer using UGDH antibody at dilution of 1:100 (400x lens).
- Submitted by
- GeneTex (provider)
- Main image

- Experimental details
- Immunohistochemistry of paraffin-embedded human esophageal using UGDH antibody at dilution of 1:100 (400x lens).
- Submitted by
- GeneTex (provider)
- Main image

- Experimental details
- Immunohistochemistry of paraffin-embedded mouse kidney using UGDH antibody at dilution of 1:100 (400x lens).