ABIN1534186
antibody from antibodies-online
Targeting: AKAP11
AKAP220, DKFZp781I12161, FLJ11304, KIAA0629, PPP1R44, PRKA11
Antibody data
- Antibody Data
- Antigen structure
- References [0]
- Comments [0]
- Validations
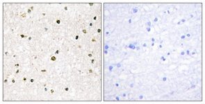
- Immunohistochemistry [1]
Submit
Validation data
Reference
Comment
Report error
- Product number
- ABIN1534186 - Provider product page

- Provider
- antibodies-online
- Product name
- anti-A Kinase (PRKA) Anchor Protein 11 (AKAP11) (AA 1761-1810) antibody
- Antibody type
- Polyclonal
- Description
- The antibody was purified from rabbit antiserum by affinity-chromatography using immunogen.
- Reactivity
- Human
- Host
- Rabbit
- Epitope
- AA 1761-1810
- Isotype
- IgG
- Vial size
- 100 μg
- Storage
- Stable at -20°C for at least 1 year.
No comments: Submit comment
Supportive validation
- Submitted by
- antibodies-online (provider)
- Main image

- Experimental details
- IHC