R30706
antibody from NSJ Bioreagents
		Targeting: HAVCR1
		
		CD365, HAVCR, HAVCR-1, KIM1, TIM-1, TIM1, TIMD1	
	
	
	
	
Antibody data
- Antibody Data
 - Antigen structure
 - References [0]
 - Comments [0]
 - Validations
 - Western blot [1]
 - Immunocytochemistry [1]
 - Immunohistochemistry [1]
 
Submit
Validation data
Reference
Comment
Report error
- Product number
 - R30706 - Provider product page

 - Provider
 - NSJ Bioreagents
 - Product name
 - KIM-1 Antibody
 - Antibody type
 - Polyclonal
 - Description
 - This highly specific KIM-1 antibody is suitable for use in Western blot/Immunohistochemistry/Immunocytochemistry applications with human samples.
 - Reactivity
 - Human
 - Host
 - Rabbit
 - Conjugate
 - Unconjugated
 - Vial size
 - 100 ug
 - Concentration
 - 0.5mg/ml if reconstituted with 0.2ml sterile DI water
 - Storage
 - After reconstitution, the KIM-1 antibody can be stored for up to one month at 4oC. For long-term, aliquot and store at -20oC. Avoid repeated freezing and thawing.
 
				No comments: Submit comment	
	
			
							
					Supportive validation
					
									
				
				- Submitted by
 - NSJ Bioreagents (provider)
 - Main image
 
- Experimental details
 - Western blot testing of KIM-1 antibody and Lane 1: SMMC-7721; 2: HeLa; 3: PANC; 4: M231; 5: M453 cell lysate. Predicted size: 40~50KD
 
							
					Supportive validation
					
									
				
				- Submitted by
 - NSJ Bioreagents (provider)
 - Main image
 
- Experimental details
 - ICC testing of K562 cells
 
							
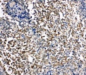
					Supportive validation
					
									
				
		- Submitted by
 - NSJ Bioreagents (provider)
 - Main image
 
- Experimental details
 - IHC-P: KIM-1 antibody testing of human tonsil tissue