Antibody data
- Antibody Data
- Antigen structure
- References [0]
- Comments [0]
- Validations
- Western blot [1]
- Immunocytochemistry [1]
- Immunohistochemistry [2]
Submit
Validation data
Reference
Comment
Report error
- Product number
- ABIN784206 - Provider product page

- Provider
- antibodies-online
- Product name
- anti-RHOH (C-Term) antibody
- Antibody type
- Polyclonal
- Antigen
- Synthetic peptide - KLH conjugated Remarks: Antigen Modification: C-Terminus
- Description
- Immunoaffinity Chromatography.
- Reactivity
- Human, Mouse, Rat
- Host
- Rabbit
- Epitope
- C-Term
- Isotype
- IgG
- Vial size
- 50 μg
- Concentration
- 1.0 mg/mL
- Storage
- Store the antibody undiluted at 2-8°C for one month or (in aliquots) at -20°C for longer.
- Handling
- Avoid repeated freezing and thawing.
No comments: Submit comment
Supportive validation
- Submitted by
- antibodies-online (provider)
- Main image

- Experimental details
- Western blot analysis of extracts from HT-29 cells, using RhoH Antibody. The lane on the right is treated with the synthesized peptide.
Supportive validation
- Submitted by
- antibodies-online (provider)
- Main image

- Experimental details
- Immunofluorescence analysis of A549 cells, using RhoH Antibody. The picture on the right is treated with the synthesized peptide.
Supportive validation
- Submitted by
- antibodies-online (provider)
- Main image

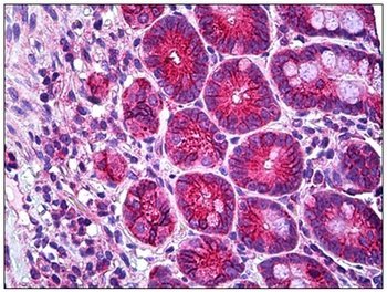
- Experimental details
- Human Colon: Formalin-Fixed, Paraffin-Embedded (FFPE)
- Submitted by
- antibodies-online (provider)
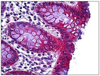
- Main image

- Experimental details
- Human Small Intestine: Formalin-Fixed, Paraffin-Embedded (FFPE)