Antibody data
- Antibody Data
 - Antigen structure
 - References [0]
 - Comments [0]
 - Validations
 - Western blot [2]
 - Immunohistochemistry [1]
 
Submit
Validation data
Reference
Comment
Report error
- Product number
 - NBP1-85360 - Provider product page

 - Provider
 - Novus Biologicals
 - Proper citation
 - Novus Cat#NBP1-85360, RRID:AB_11043074
 - Product name
 - Rabbit Polyclonal PPIL2 Antibody
 - Antibody type
 - Polyclonal
 - Description
 - Immunogen affinity purified. Specificity of human, mouse, rat PPIL2 antibody verified on a Protein Array containing target protein plus 383 other non-specific proteins.
 - Reactivity
 - Human, Mouse, Rat
 - Host
 - Rabbit
 - Isotype
 - IgG
 - Vial size
 - 0.1 ml
 - Storage
 - Store at 4C short term. Aliquot and store at -20C long term. Avoid freeze-thaw cycles.
 
				No comments: Submit comment	
	
			
							
					Supportive validation
					
									
				
				- Submitted by
 - Novus Biologicals (provider)
 - Main image
 
- Experimental details
 - Western Blot: PPIL2 Antibody [NBP1-85360] - Lane 1: Marker [kDa] 230, 130, 95, 72, 56, 36, 28, 17, 11. Lane 2: Human cell line RT-4. Lane 3: Human cell line U-251MG sp. Lane 4: Human plasma (IgG/HSA depleted). Lane 5: Human liver tissue. Lane 6: Human tonsil tissue
 
- Submitted by
 - Novus Biologicals (provider)
 - Main image
 
- Experimental details
 - Western Blot: PPIL2 Antibody [NBP1-85360] - Lane 1: NIH-3T3 cell lysate (Mouse embryonic fibroblast cells). Lane 2: NBT-II cell lysate (Rat Wistar bladder tumor cells).
 
							
					Supportive validation
					
									
				
		- Submitted by
 - Novus Biologicals (provider)
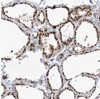
 - Main image
 
- Experimental details
 - Immunohistochemistry-Paraffin: PPIL2 Antibody [NBP1-85360] - Staining of human thyroid gland shows strong nuclear positivity in glandular cells.