Antibody data
- Antibody Data
- Antigen structure
- References [1]
- Comments [0]
- Validations
- Western blot [3]
- Immunohistochemistry [1]
Submit
Validation data
Reference
Comment
Report error
- Product number
- GTX111153 - Provider product page

- Provider
- GeneTex
- Proper citation
- GeneTex Cat#GTX111153, RRID:AB_1950964
- Product name
- MX1 antibody
- Antibody type
- Polyclonal
- Reactivity
- Human
- Host
- Rabbit
Submitted references A Novel Agonist of the TRIF Pathway Induces a Cellular State Refractory to Replication of Zika, Chikungunya, and Dengue Viruses.
Pryke KM, Abraham J, Sali TM, Gall BJ, Archer I, Liu A, Bambina S, Baird J, Gough M, Chakhtoura M, Haddad EK, Kirby IT, Nilsen A, Streblow DN, Hirsch AJ, Smith JL, DeFilippis VR
mBio 2017 May 2;8(3)
mBio 2017 May 2;8(3)
No comments: Submit comment
Supportive validation
- Submitted by
- GeneTex (provider)
- Main image

- Experimental details
- MX1 antibody detects MX1 protein by western blot analysis.A. 30 ?g 293T whole cell lysate/extractB. 30 ?g whole cell lysate/extract of human MX1-transfected 293T cells7.5% SDS-PAGEMX1 antibody (GTX111153) dilution: 1:5000 The HRP-conjugated anti-rabbit IgG antibody (GTX213110-01) was used to detect the primary antibody.
- Submitted by
- GeneTex (provider)
- Main image

- Experimental details
- MX1 antibody detects MX1 protein by western blot analysis. Whole cell extracts (30 ?g) was separated by 7.5% SDS-PAGE, and the membrane was blotted with MX1 antibody (GTX111153) diluted at 1:1000. The HRP-conjugated anti-rabbit IgG antibody (GTX213110-01) was used to detect the primary antibody.
- Submitted by
- GeneTex (provider)
- Main image

- Experimental details
- Whole cell extract (30 ?g) was separated by 7.5% SDS-PAGE, and the membrane was blotted with MX1 antibody (GTX111153) diluted at 1:1000. The HRP-conjugated anti-rabbit IgG antibody (GTX213110-01) was used to detect the primary antibody.
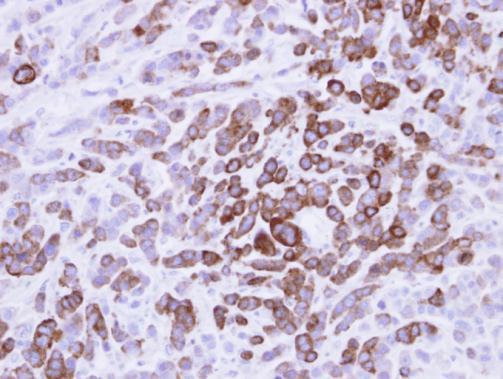
Supportive validation
- Submitted by
- GeneTex (provider)
- Main image

- Experimental details
- MX1 Antobody detects MX1 protein at cytosol on MDA-MB-468 xenograft by immunohistochemical analysis. Sample: Paraffin-embedded MDA-MB-468 xenograft. MX1 Antobody (GTX111153) dilution: 1:500.