Antibody data
- Antibody Data
- Antigen structure
- References [0]
- Comments [0]
- Validations
- Immunohistochemistry [1]
- Other assay [1]
Submit
Validation data
Reference
Comment
Report error
- Product number
- 7173-MSM1-P0 - Provider product page

- Provider
- Invitrogen Antibodies
- Product name
- TPO (Thyroid Peroxidase) (Thyroid Marker) Monoclonal Antibody (TPO/1921)
- Antibody type
- Monoclonal
- Antigen
- Recombinant protein fragment
- Reactivity
- Human
- Host
- Mouse
- Isotype
- IgG
- Antibody clone number
- TPO/1921
- Vial size
- 20 µg
- Concentration
- 200 µg/mL
- Storage
- 4° C, do not freeze
No comments: Submit comment
Supportive validation
- Submitted by
- Invitrogen Antibodies (provider)
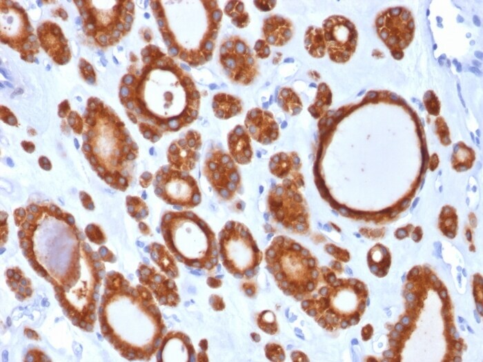
- Main image

- Experimental details
- Formalin-fixed, paraffin-embedded human Thyroid Carcinoma stained with Thyroid Peroxidase Mouse Monoclonal Antibody (TPO/1921).
Supportive validation
- Submitted by
- Invitrogen Antibodies (provider)
- Main image

- Experimental details
- SDS-PAGE analysis Purified Thyroid Peroxidase Mouse Monoclonal Antibody (TPO/1921). Confirmation of Purity and Integrity of Antibody.