Antibody data
- Antibody Data
- Antigen structure
- References [0]
- Comments [0]
- Validations
- Western blot [1]
- Immunohistochemistry [2]
Submit
Validation data
Reference
Comment
Report error
- Product number
- TA350884 - Provider product page

- Provider
- OriGene
- Product name
- Rabbit Polyclonal Anti-ART4 Antibody
- Antibody type
- Polyclonal
- Description
- Rabbit Polyclonal Anti-ART4 Antibody
- Host
- Rabbit
- Conjugate
- Unconjugated
- Epitope
- ART4
- Isotype
- IgG
- Antibody clone number
- NULL
- Vial size
- 100 µl
- Concentration
- 3 mg/ml
No comments: Submit comment
Supportive validation
- Submitted by
- OriGene (provider)
- Main image

- Experimental details
- Gel: 10%SDS-PAGE, Lysate: 40 ug, Lane: Human placenta tissue, Primary antibody: (ART4 Antibody) at dilution 1/1000, Secondary antibody: Goat anti rabbit IgG at 1/8000 dilution, Exposure time: 2 minutes
- Validation comment
- WB
Supportive validation
- Submitted by
- OriGene (provider)
- Main image

- Experimental details
- The image on the left is immunohistochemistry of paraffin-embedded Human thyroid cancer tissue using (ART4 Antibody) at dilution 1/50, on the right is treated with synthetic peptide. (Original magnification: ?200)
- Validation comment
- IHC
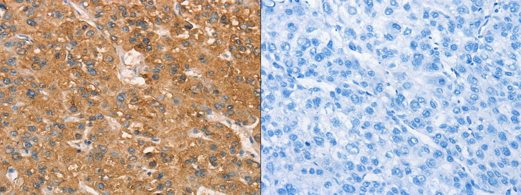
- Submitted by
- OriGene (provider)
- Main image

- Experimental details
- The image on the left is immunohistochemistry of paraffin-embedded Human liver cancer tissue using (ART4 Antibody) at dilution 1/50, on the right is treated with synthetic peptide. (Original magnification: ?200)
- Validation comment
- IHC