Antibody data
- Antibody Data
- Antigen structure
- References [1]
- Comments [0]
- Validations
- Western blot [1]
- Immunohistochemistry [5]
Submit
Validation data
Reference
Comment
Report error
- Product number
- NBP2-49505 - Provider product page

- Provider
- Novus Biologicals
- Product name
- Rabbit Polyclonal Importin 11 Antibody
- Antibody type
- Polyclonal
- Description
- Immunogen affinity purified. Specificity of human Importin 11 antibody verified on a Protein Array containing target protein plus 383 other non-specific proteins.
- Reactivity
- Human
- Host
- Rabbit
- Isotype
- IgG
- Vial size
- 0.1 ml
- Storage
- Store at 4C short term. Aliquot and store at -20C long term. Avoid freeze-thaw cycles.
Submitted references Hypoxia-Induced Adaptations of miRNomes and Proteomes in Melanoma Cells and Their Secreted Extracellular Vesicles.
Walbrecq G, Lecha O, Gaigneaux A, Fougeras MR, Philippidou D, Margue C, Tetsi Nomigni M, Bernardin F, Dittmar G, Behrmann I, Kreis S
Cancers 2020 Mar 14;12(3)
Cancers 2020 Mar 14;12(3)
No comments: Submit comment
Supportive validation
- Submitted by
- Novus Biologicals (provider)
- Main image

- Experimental details
- Western Blot: Importin 11 Antibody [NBP2-49505] - Lane 1: Marker [kDa] 250, 130, 95, 72, 55, 36, 28, 17, 10 Lane 2: Human cell line RT-4 Lane 3: Human cell line U-251 MG
Supportive validation
- Submitted by
- Novus Biologicals (provider)
- Main image

- Experimental details
- Immunohistochemistry-Paraffin: Importin 11 Antibody [NBP2-49505] - Staining of human skeletal muscle shows no positivity in myocytes as expected.
- Submitted by
- Novus Biologicals (provider)
- Main image

- Experimental details
- Immunohistochemistry-Paraffin: Importin 11 Antibody [NBP2-49505] - Analysis in human testis and skeletal muscle tissues. Corresponding RNA-seq data are presented for the same tissues.
- Submitted by
- Novus Biologicals (provider)
- Main image

- Experimental details
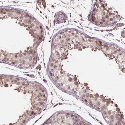
- Immunohistochemistry-Paraffin: Importin 11 Antibody [NBP2-49505] - Staining of human testis shows moderate cytoplasmic positivity in cells in seminiferous ducts.
- Submitted by
- Novus Biologicals (provider)
- Main image

- Experimental details
- Immunohistochemistry-Paraffin: Importin 11 Antibody [NBP2-49505] - Staining of human placenta shows moderate cytoplasmic positivity in trophoblastic cells.
- Submitted by
- Novus Biologicals (provider)
- Main image

- Experimental details
- Immunohistochemistry-Paraffin: Importin 11 Antibody [NBP2-49505] - Staining of human cerebral cortex shows moderate cytoplasmic positivity in neurons.