Antibody data
- Antibody Data
 - Antigen structure
 - References [0]
 - Comments [0]
 - Validations
 - Immunohistochemistry [6]
 
Submit
Validation data
Reference
Comment
Report error
- Product number
 - LS-C376777 - Provider product page

 - Provider
 - LSBio
 - Product name
 - TFF2 / SP Antibody (aa24-129) LS-C376777
 - Antibody type
 - Polyclonal
 - Description
 - Immunoaffinity purified
 - Reactivity
 - Human
 - Host
 - Rabbit
 - Isotype
 - IgG
 - Storage
 - Short term: -20°C; Long term: -80°C; Avoid freeze-thaw cycles.
 
				No comments: Submit comment	
	
			
							
					Supportive validation
					
									
				
		- Submitted by
 - LSBio (provider)
 - Enhanced method
 - Genetic validation
 - Main image
 
- Experimental details
 - Immunohistochemistry of paraffin-embedded human small intestine using antibody at 1:100 dilution.
 
- Submitted by
 - LSBio (provider)
 - Enhanced method
 - Genetic validation
 - Main image
 
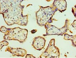
- Experimental details
 - Immunohistochemistry of paraffin-embedded human placenta tissue using antibody at 1:100 dilution.
 
- Submitted by
 - LSBio (provider)
 - Enhanced method
 - Genetic validation
 - Main image
 
- Experimental details
 - Immunohistochemistry of paraffin-embedded human small intestine using antibody at 1:100 dilution.
 
- Submitted by
 - LSBio (provider)
 - Enhanced method
 - Genetic validation
 - Main image
 
- Experimental details
 - Immunohistochemistry of paraffin-embedded human placenta tissue using antibody at 1:100 dilution.
 
- Submitted by
 - LSBio (provider)
 - Enhanced method
 - Genetic validation
 - Main image
 
- Experimental details
 - Immunohistochemistry of paraffin-embedded human small intestine using antibody at 1:100 dilution.
 
- Submitted by
 - LSBio (provider)
 - Enhanced method
 - Genetic validation
 - Main image
 
- Experimental details
 - Immunohistochemistry of paraffin-embedded human placenta tissue using antibody at 1:100 dilution.