NBP1-44091
antibody from Novus Biologicals
Targeting: CAVIN3
cavin-3, HSRBC, MGC20400, PRKCDBP, SRBC
Antibody data
- Antibody Data
- Antigen structure
- References [3]
- Comments [0]
- Validations
- Immunohistochemistry [2]
Submit
Validation data
Reference
Comment
Report error
- Product number
- NBP1-44091 - Provider product page

- Provider
- Novus Biologicals
- Proper citation
- Novus Cat#NBP1-44091, RRID:AB_2171897
- Product name
- Rabbit Polyclonal PRKCDBP Antibody
- Antibody type
- Polyclonal
- Description
- Immunogen affinity purified. This antibody is specific to Cavin 3 SRBC
- Reactivity
- Human
- Host
- Rabbit
- Isotype
- IgG
- Vial size
- 0.1 mg
- Concentration
- 1.02 mg/ml
- Storage
- Store at -20C. Avoid freeze-thaw cycles.
Submitted references MURC/Cavin-4 and cavin family members form tissue-specific caveolar complexes.
SRBC/cavin-3 is a caveolin adapter protein that regulates caveolae function.
A protein kinase Cdelta-binding protein SRBC whose expression is induced by serum starvation.
Bastiani M, Liu L, Hill MM, Jedrychowski MP, Nixon SJ, Lo HP, Abankwa D, Luetterforst R, Fernandez-Rojo M, Breen MR, Gygi SP, Vinten J, Walser PJ, North KN, Hancock JF, Pilch PF, Parton RG
The Journal of cell biology 2009 Jun 29;185(7):1259-73
The Journal of cell biology 2009 Jun 29;185(7):1259-73
SRBC/cavin-3 is a caveolin adapter protein that regulates caveolae function.
McMahon KA, Zajicek H, Li WP, Peyton MJ, Minna JD, Hernandez VJ, Luby-Phelps K, Anderson RG
The EMBO journal 2009 Apr 22;28(8):1001-15
The EMBO journal 2009 Apr 22;28(8):1001-15
A protein kinase Cdelta-binding protein SRBC whose expression is induced by serum starvation.
Izumi Y, Hirai Si, Tamai Y, Fujise-Matsuoka A, Nishimura Y, Ohno S
The Journal of biological chemistry 1997 Mar 14;272(11):7381-9
The Journal of biological chemistry 1997 Mar 14;272(11):7381-9
No comments: Submit comment
Supportive validation
- Submitted by
- Novus Biologicals (provider)
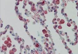
- Main image

- Experimental details
- Immunohistochemistry: PRKCDBP Antibody [NBP1-44091] - Tissue: Lung. Fixation: formalin fixed paraffin embedded. Antigen retrieval: not required. Incubated at 5 ug/mL for 1 h at RT.
- Submitted by
- Novus Biologicals (provider)
- Main image

- Experimental details
- Immunohistochemistry: PRKCDBP Antibody [NBP1-44091] - Tissue: Placenta. Fixation: formalin fixed paraffin embedded. Primary antibody: Anti-Protein Kinase C delta Binding Protein at 5 ug/mL for 1 h at RT. Secondary antibody: Peroxidase rabbit secondary antibody at 1:10,000 for 45 min at RT. Staining: Protein Kinase C delta Binding Protein as precipitated red signal with hematoxylin purple nuclear counterstain.