Antibody data
- Antibody Data
- Antigen structure
- References [0]
- Comments [0]
- Validations
- Western blot [1]
- Immunohistochemistry [8]
Submit
Validation data
Reference
Comment
Report error
- Product number
- TA504160 - Provider product page

- Provider
- OriGene
- Proper citation
- OriGene Cat#TA504160, RRID:AB_11123993
- Product name
- NLN mouse monoclonal antibody, clone OTI1B8 (formerly 1B8)
- Antibody type
- Monoclonal
- Description
- NLN mouse monoclonal antibody, clone OTI1B8 (formerly 1B8)
- Host
- Mouse
- Conjugate
- Unconjugated
- Epitope
- NLN
- Isotype
- IgG
- Antibody clone number
- OTI1B8
- Vial size
- 100 µl
- Concentration
- 1.19 mg/ml
No comments: Submit comment
Supportive validation
- Submitted by
- OriGene (provider)
- Main image

- Experimental details
- HEK293T cells were transfected with the pCMV6-ENTRY control (Left lane) or pCMV6-ENTRY NLN (RC212447, Right lane) cDNA for 48 hrs and lysed. Equivalent amounts of cell lysates (5 ug per lane) were separated by SDS-PAGE and immunoblotted with anti-NLN.
- Validation comment
- WB
Supportive validation
- Submitted by
- OriGene (provider)
- Main image

- Experimental details
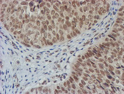
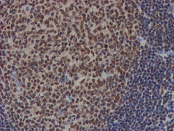
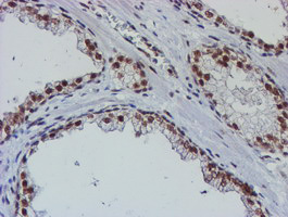
- Immunohistochemical staining of paraffin-embedded Carcinoma of Human bladder tissue using anti-NLN mouse monoclonal antibody. (Heat-induced epitope retrieval by 10mM citric buffer, pH6.0, 100C for 10min, TA504160)
- Validation comment
- IHC
- Submitted by
- OriGene (provider)
- Main image

- Experimental details
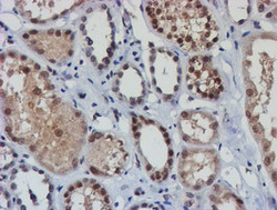
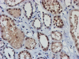
- Immunohistochemical staining of paraffin-embedded Human Kidney tissue within the normal limits using anti-NLN mouse monoclonal antibody. (Heat-induced epitope retrieval by 10mM citric buffer, pH6.0, 100C for 10min, TA504160)
- Validation comment
- IHC
- Submitted by
- OriGene (provider)
- Main image

- Experimental details
- Immunohistochemical staining of paraffin-embedded Adenocarcinoma of Human endometrium tissue using anti-NLN mouse monoclonal antibody. (Heat-induced epitope retrieval by 10mM citric buffer, pH6.0, 100C for 10min, TA504160)
- Validation comment
- IHC
- Submitted by
- OriGene (provider)
- Main image

- Experimental details
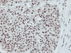
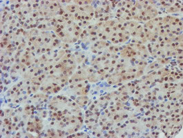
- Immunohistochemical staining of paraffin-embedded Human pancreas tissue within the normal limits using anti-NLN mouse monoclonal antibody. (Heat-induced epitope retrieval by 10mM citric buffer, pH6.0, 100C for 10min, TA504160)
- Validation comment
- IHC
- Submitted by
- OriGene (provider)
- Main image

- Experimental details
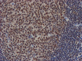
- Immunohistochemical staining of paraffin-embedded Human tonsil within the normal limits using anti-NLN mouse monoclonal antibody. (Heat-induced epitope retrieval by 10mM citric buffer, pH6.0, 100C for 10min, TA504160)
- Validation comment
- IHC
- Submitted by
- OriGene (provider)
- Main image

- Experimental details
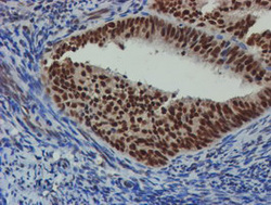
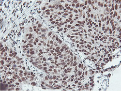
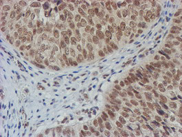
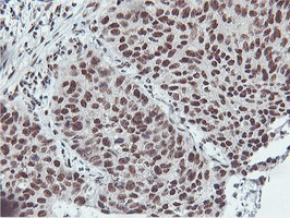
- Immunohistochemical staining of paraffin-embedded Carcinoma of Human prostate tissue using anti-NLN mouse monoclonal antibody. (Heat-induced epitope retrieval by 10mM citric buffer, pH6.0, 100C for 10min, TA504160)
- Validation comment
- IHC
- Submitted by
- OriGene (provider)
- Main image

- Experimental details
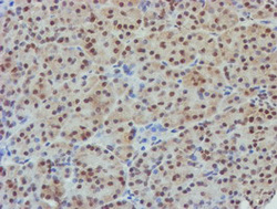
- Immunohistochemical staining of paraffin-embedded Adenocarcinoma of Human ovary tissue using anti-NLN mouse monoclonal antibody. (Heat-induced epitope retrieval by 10mM citric buffer, pH6.0, 100C for 10min, TA504160)
- Validation comment
- IHC
- Submitted by
- OriGene (provider)
- Main image

- Experimental details
- Immunohistochemical staining of paraffin-embedded Carcinoma of Human lung tissue using anti-NLN mouse monoclonal antibody. (Heat-induced epitope retrieval by 10mM citric buffer, pH6.0, 100C for 10min, TA504160)
- Validation comment
- IHC