Antibody data
- Antibody Data
- Antigen structure
- References [0]
- Comments [0]
- Validations
- Western blot [1]
- Immunohistochemistry [8]
Submit
Validation data
Reference
Comment
Report error
- Product number
- NBP1-87993 - Provider product page

- Provider
- Novus Biologicals
- Proper citation
- Novus Cat#NBP1-87993, RRID:AB_11031221
- Product name
- Rabbit Polyclonal SFRS12 Antibody
- Antibody type
- Polyclonal
- Description
- Immunogen affinity purified. Specificity of human SFRS12 antibody verified on a Protein Array containing target protein plus 383 other non-specific proteins.
- Reactivity
- Human
- Host
- Rabbit
- Isotype
- IgG
- Vial size
- 0.1 ml
- Storage
- Store at 4C short term. Aliquot and store at -20C long term. Avoid freeze-thaw cycles.
No comments: Submit comment
Supportive validation
- Submitted by
- Novus Biologicals (provider)
- Main image

- Experimental details
- Western Blot: SFRS12 Antibody [NBP1-87993] - Lane 1: Marker [kDa] 250, 130, 95, 72, 55, 36, 28, 17, 10. Lane 2: Human cell line RT-4. Lane 3: Human cell line U-251MG sp
Supportive validation
- Submitted by
- Novus Biologicals (provider)
- Main image

- Experimental details
- Immunohistochemistry-Paraffin: SFRS12 Antibody [NBP1-87993] - Staining of human pancreas shows moderate nuclear and cytoplasmic positivity in exocrine glandular cells.
- Submitted by
- Novus Biologicals (provider)
- Main image

- Experimental details
- Immunohistochemistry-Paraffin: SFRS12 Antibody [NBP1-87993] - Staining of human skeletal muscle shows low expression as expected.
- Submitted by
- Novus Biologicals (provider)
- Main image

- Experimental details
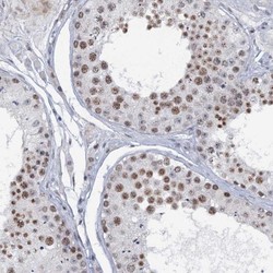
- Immunohistochemistry-Paraffin: SFRS12 Antibody [NBP1-87993] - Staining of human testis shows high expression.
- Submitted by
- Novus Biologicals (provider)
- Main image

- Experimental details
- Immunohistochemistry-Paraffin: SFRS12 Antibody [NBP1-87993] - Staining in human testis and skeletal muscle tissues using anti-SREK1 antibody. Corresponding SREK1 RNA-seq data are presented for the same tissues.
- Submitted by
- Novus Biologicals (provider)
- Main image

- Experimental details
- Immunohistochemistry-Paraffin: SFRS12 Antibody [NBP1-87993] - Staining of human cerebral cortex, liver, small intestine and testis using Anti-SREK1 antibody NBP1-87993 (A) shows similar protein distribution across tissues to independent antibody NBP2-57236 (B).
- Submitted by
- Novus Biologicals (provider)
- Main image

- Experimental details
- Immunohistochemistry-Paraffin: SFRS12 Antibody [NBP1-87993] - Staining of human small intestine.
- Submitted by
- Novus Biologicals (provider)
- Main image

- Experimental details
- Immunohistochemistry-Paraffin: SFRS12 Antibody [NBP1-87993] - Staining of human cerebral cortex.
- Submitted by
- Novus Biologicals (provider)
- Main image

- Experimental details
- Immunohistochemistry-Paraffin: SFRS12 Antibody [NBP1-87993] - Staining of human liver.