Antibody data
- Antibody Data
- Antigen structure
- References [0]
- Comments [0]
- Validations
- Western blot [1]
- Immunocytochemistry [1]
- Immunohistochemistry [3]
Submit
Validation data
Reference
Comment
Report error
- Product number
- GTX115272 - Provider product page

- Provider
- GeneTex
- Proper citation
- GeneTex Cat#GTX115272, RRID:AB_10619726
- Product name
- SAFB2 antibody [N2C1], Internal
- Antibody type
- Polyclonal
- Reactivity
- Human, Mouse
- Host
- Rabbit
No comments: Submit comment
Supportive validation
- Submitted by
- GeneTex (provider)
- Main image

- Experimental details
- Sample (30 ug of whole cell lysate) A: A431 (GTX27909) 7.5% SDS PAGE GTX115272 diluted at 1:1000
Supportive validation
- Submitted by
- GeneTex (provider)
- Main image

- Experimental details
- Immunofluorescence analysis of methanol-fixed A431, using Scaffold attachment factor B2(GTX115272) antibody at 1:200 dilution.
Supportive validation
- Submitted by
- GeneTex (provider)
- Main image

- Experimental details
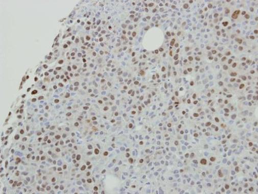
- Immunohistochemical analysis of paraffin-embedded HBL435 xenograft, using Scaffold attachment factor B2(GTX115272) antibody at 1:100 dilution.
- Submitted by
- GeneTex (provider)
- Main image

- Experimental details
- SAFB2 antibody [N2C1], Internal detects SAFB2 protein at nucleus in mouse duodenum by immunohistochemical analysis. Sample: Paraffin-embedded mouse duodenum. SAFB2 antibody [N2C1], Internal (GTX115272) diluted at 1:500.
- Submitted by
- GeneTex (provider)
- Main image

- Experimental details
- SAFB2 antibody [N2C1], Internal detects SAFB2 protein at nucleus in mouse brain by immunohistochemical analysis. Sample: Paraffin-embedded mouse brain. SAFB2 antibody [N2C1], Internal (GTX115272) diluted at 1:500.