Antibody data
- Antibody Data
- Antigen structure
- References [0]
- Comments [0]
- Validations
- Western blot [1]
- Immunohistochemistry [3]
Submit
Validation data
Reference
Comment
Report error
- Product number
- NB100-58791 - Provider product page

- Provider
- Novus Biologicals
- Proper citation
- Novus Cat#NB100-58791, RRID:AB_877769
- Product name
- Rabbit Polyclonal Scaffold attachment factor B2 Antibody
- Antibody type
- Polyclonal
- Description
- Immunogen affinity purified.
- Reactivity
- Human
- Host
- Rabbit
- Isotype
- IgG
- Vial size
- 0.1 ml
- Concentration
- 0.2 mg/ml
- Storage
- Store at 4C. Do not freeze.
No comments: Submit comment
Supportive validation
- Submitted by
- Novus Biologicals (provider)
- Main image

- Experimental details
- Western Blot: Scaffold attachment factor B2 Antibody [NB100-58791] - Detection of Human SAFB2 on HeLa whole cell lysate using NB100-58791. SAFB2 was also immunoprecipitated by rabbit anti-SAFB2 antibodies NB100-58792 and another SAFB Ab.
Supportive validation
- Submitted by
- Novus Biologicals (provider)
- Main image

- Experimental details
- Immunohistochemistry-Paraffin: Scaffold attachment factor B2 Antibody [NB100-58791] - FFPE section of non-small cell lung cancer. Affinity purified rabbit anti-SAFB2 used at a dilution of 1:500.
- Submitted by
- Novus Biologicals (provider)
- Main image

- Experimental details
- Immunohistochemistry-Paraffin: Scaffold attachment factor B2 Antibody [NB100-58791] - FFPE section of human breast carcinoma. Affinity purified rabbit anti-SAFB2 used at a dilution of 1:100.
- Submitted by
- Novus Biologicals (provider)
- Main image

- Experimental details
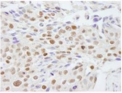
- Immunohistochemistry: Scaffold attachment factor B2 Antibody [NB100-58791] - Sample: FFPE section of human small cell lung cancer. Antibody: Affinity purified rabbit anti- SAFB2 used at a dilution of 1:200 (1ug/ml). Detection: DAB