Antibody data
- Antibody Data
- Antigen structure
- References [3]
- Comments [0]
- Validations
- Western blot [1]
- Immunocytochemistry [1]
- Immunohistochemistry [2]
Submit
Validation data
Reference
Comment
Report error
- Product number
- 18968-1-AP - Provider product page

- Provider
- Proteintech Group
- Proper citation
- Proteintech Cat#18968-1-AP, RRID:AB_2203324
- Product name
- TEKT1 antibody
- Antibody type
- Polyclonal
- Description
- KD/KO validated TEKT1 antibody (Cat. #18968-1-AP) is a rabbit polyclonal antibody that shows reactivity with human, mouse, rat and has been validated for the following applications: IF, IHC, WB,ELISA.
- Reactivity
- Human, Mouse, Rat
- Host
- Rabbit
- Conjugate
- Unconjugated
- Isotype
- IgG
- Vial size
- 20ul, 150ul
Submitted references Tektin bundle interacting protein, TEKTIP1, functions to stabilize the tektin bundle and axoneme in mouse sperm flagella.
CCDC176 stabilizes microtubule doublets 1 and 9 to ensure proper sperm movement.
Functional characterization of tektin-1 in motile cilia and evidence for TEKT1 as a new candidate gene for motile ciliopathies.
Geng XY, Jin HJ, Xia L, Wang BB, Chen SR
Cellular and molecular life sciences : CMLS 2024 Mar 7;81(1):118
Cellular and molecular life sciences : CMLS 2024 Mar 7;81(1):118
CCDC176 stabilizes microtubule doublets 1 and 9 to ensure proper sperm movement.
Liu C, Wang Q, Gu L, Wang X, Yin Y, Huang T, Xiao S, Zhang S, Wang F, Zhou T, Xu G, Wang L, Dong F, Jiang J, Luo M, Li J, Zhang H, Zi-Jiang Chen, Ji W, Ji B, Liu H, Li W
Current biology : CB 2023 Aug 21;33(16):3371-3388.e7
Current biology : CB 2023 Aug 21;33(16):3371-3388.e7
Functional characterization of tektin-1 in motile cilia and evidence for TEKT1 as a new candidate gene for motile ciliopathies.
Ryan R, Failler M, Reilly ML, Garfa-Traore M, Delous M, Filhol E, Reboul T, Bole-Feysot C, Nitschké P, Baudouin V, Amselem S, Escudier E, Legendre M, Benmerah A, Saunier S
Human molecular genetics 2018 Jan 15;27(2):266-282
Human molecular genetics 2018 Jan 15;27(2):266-282
No comments: Submit comment
Supportive validation
- Submitted by
- Proteintech Group (provider)
- Main image

- Experimental details
- human brain tissue were subjected to SDS PAGE followed by western blot with 18968-1-AP(TEKT1 antibody) at dilution of 1:500
- Sample type
- tissue
Supportive validation
- Submitted by
- Proteintech Group (provider)
- Main image

- Experimental details
- Immunofluorescent analysis of HepG2 cells, using TEKT1 antibody 18968-1-AP at 1:25 dilution and Rhodamine-labeled goat anti-rabbit IgG (red).
- Sample type
- cell line
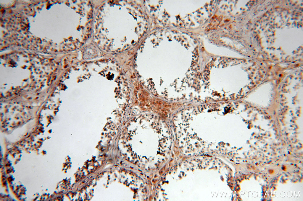
Supportive validation
- Submitted by
- Proteintech Group (provider)
- Main image

- Experimental details
- Immunohistochemical of paraffin-embedded human testis using 18968-1-AP(TEKT1 antibody) at dilution of 1:100 (under 10x lens)
- Sample type
- tissue
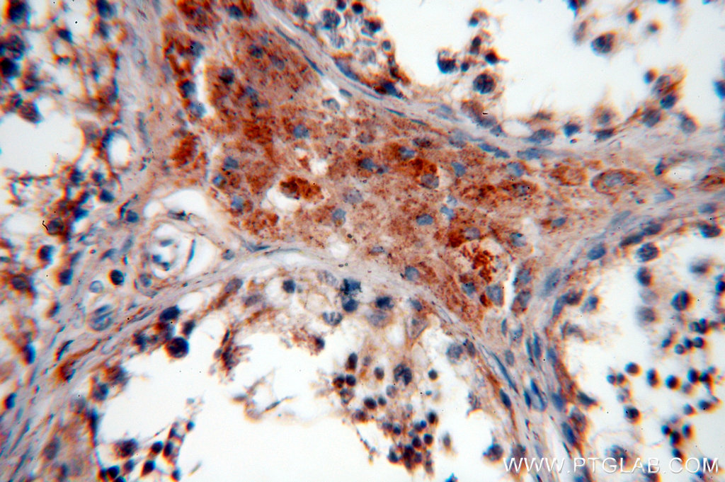
- Submitted by
- Proteintech Group (provider)
- Main image

- Experimental details
- Immunohistochemical of paraffin-embedded human testis using 18968-1-AP(TEKT1 antibody) at dilution of 1:100 (under 40x lens)
- Sample type
- tissue