Antibody data
- Antibody Data
- Antigen structure
- References [0]
- Comments [0]
- Validations
- Western blot [3]
- Immunohistochemistry [8]
Submit
Validation data
Reference
Comment
Report error
- Product number
- NBP1-82683 - Provider product page

- Provider
- Novus Biologicals
- Proper citation
- Novus Cat#NBP1-82683, RRID:AB_11003620
- Product name
- Rabbit Polyclonal OCIAD2 Antibody
- Antibody type
- Polyclonal
- Description
- Immunogen affinity purified. Specificity of human OCIAD2 antibody verified on a Protein Array containing target protein plus 383 other non-specific proteins.
- Reactivity
- Human
- Host
- Rabbit
- Isotype
- IgG
- Vial size
- 0.1 ml
- Storage
- Store at 4C short term. Aliquot and store at -20C long term. Avoid freeze-thaw cycles.
No comments: Submit comment
Supportive validation
- Submitted by
- Novus Biologicals (provider)
- Main image

- Experimental details
- Western Blot: OCIAD2 Antibody [NBP1-82683] - Analysis in human cell line A-431.
- Submitted by
- Novus Biologicals (provider)
- Main image

- Experimental details
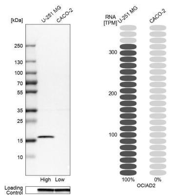
- Western Blot: OCIAD2 Antibody [NBP1-82683] - Analysis in human cell lines U-251MG and Caco-2. Corresponding RNA-seq data are presented for the same cell lines. Loading control: Anti-GAPDH.
- Submitted by
- Novus Biologicals (provider)
- Main image

- Experimental details
- Western Blot: OCIAD2 Antibody [NBP1-82683] - Analysis using Anti-OCIAD2 antibody NBP1-82683 (A) shows similar pattern to independent antibody NBP1-82682 (B).
Supportive validation
- Submitted by
- Novus Biologicals (provider)
- Main image

- Experimental details
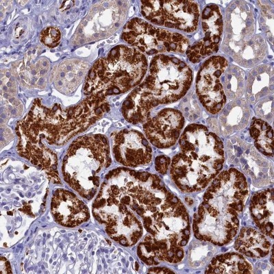
- Immunohistochemistry-Paraffin: OCIAD2 Antibody [NBP1-82683] - Staining of human kidney shows high expression.
- Submitted by
- Novus Biologicals (provider)
- Main image

- Experimental details
- Immunohistochemistry-Paraffin: OCIAD2 Antibody [NBP1-82683] - Staining in human kidney and skeletal muscle tissues using anti-OCIAD2 antibody. Corresponding OCIAD2 RNA-seq data are presented for the same tissues.
- Submitted by
- Novus Biologicals (provider)
- Main image

- Experimental details
- Immunohistochemistry-Paraffin: OCIAD2 Antibody [NBP1-82683] - Staining of human kidney, liver, skeletal muscle and stomach using Anti-OCIAD2 antibody NBP1-82683 (A) shows similar protein distribution across tissues to independent antibody NBP1-82682 (B).
- Submitted by
- Novus Biologicals (provider)
- Main image

- Experimental details
- Immunohistochemistry-Paraffin: OCIAD2 Antibody [NBP1-82683] - Staining of human liver.
- Submitted by
- Novus Biologicals (provider)
- Main image

- Experimental details
- Immunohistochemistry: OCIAD2 Antibody [NBP1-82683] - Immunohistochemical staining of human skeletal muscle shows low expression as expected.
- Submitted by
- Novus Biologicals (provider)
- Main image

- Experimental details
- Immunohistochemistry-Paraffin: OCIAD2 Antibody [NBP1-82683] - Staining of human stomach.
- Submitted by
- Novus Biologicals (provider)
- Main image

- Experimental details
- Immunohistochemistry-Paraffin: OCIAD2 Antibody [NBP1-82683] - Staining of human kidney using Anti-OCIAD2 antibody NBP1-82683.
- Submitted by
- Novus Biologicals (provider)
- Main image

- Experimental details
- Immunohistochemistry-Paraffin: OCIAD2 Antibody [NBP1-82683] - Staining of human skeletal muscle using Anti-OCIAD2 antibody NBP1-82683.