Antibody data
- Antibody Data
- Antigen structure
- References [8]
- Comments [0]
- Validations
- Western blot [1]
- Immunohistochemistry [2]
Submit
Validation data
Reference
Comment
Report error
- Product number
- 14651-1-AP - Provider product page

- Provider
- Proteintech Group
- Proper citation
- Proteintech Cat#14651-1-AP, RRID:AB_2205440
- Product name
- TMPO/LAP2 antibody
- Antibody type
- Polyclonal
- Description
- KD/KO validated TMPO/LAP2 antibody (Cat. #14651-1-AP) is a rabbit polyclonal antibody that shows reactivity with human, rat and has been validated for the following applications: IF, IHC, IP, WB, ELISA.
- Reactivity
- Human, Rat
- Host
- Rabbit
- Conjugate
- Unconjugated
- Isotype
- IgG
- Vial size
- 20ul, 150ul
Submitted references Defective prelamin A processing promotes unconventional necroptosis driven by nuclear RIPK1.
DENND2B activates Rab35 at the intercellular bridge, regulating cytokinetic abscission and tetraploidy.
Anti-inflammation of epicatechin mediated by TMEM35A and TMPO in bovine mammary epithelial cell line cells and mouse mammary gland.
The missing linker between SUN5 and PMFBP1 in sperm head-tail coupling apparatus.
Progerin accumulation in nucleus pulposus cells impairs mitochondrial function and induces intervertebral disc degeneration and therapeutic effects of sulforaphane.
A toolbox of anti-mouse and anti-rabbit IgG secondary nanobodies.
Depletion of thymopoietin inhibits proliferation and induces cell cycle arrest/apoptosis in glioblastoma cells.
MacroH2A1 associates with nuclear lamina and maintains chromatin architecture in mouse liver cells.
Yang Y, Zhang J, Lv M, Cui N, Shan B, Sun Q, Yan L, Zhang M, Zou C, Yuan J, Xu D
Nature cell biology 2024 Apr;26(4):567-580
Nature cell biology 2024 Apr;26(4):567-580
DENND2B activates Rab35 at the intercellular bridge, regulating cytokinetic abscission and tetraploidy.
Kumar R, Francis V, Ioannou MS, Aguila A, Khan M, Banks E, Kulasekaran G, McPherson PS
Cell reports 2023 Jul 25;42(7):112795
Cell reports 2023 Jul 25;42(7):112795
Anti-inflammation of epicatechin mediated by TMEM35A and TMPO in bovine mammary epithelial cell line cells and mouse mammary gland.
Ma X, Li M, Lu G, Wang R, Wei Y, Guo Y, Yu Y, Jiang C
Journal of dairy science 2021 Dec;104(12):12925-12938
Journal of dairy science 2021 Dec;104(12):12925-12938
The missing linker between SUN5 and PMFBP1 in sperm head-tail coupling apparatus.
Zhang Y, Liu C, Wu B, Li L, Li W, Yuan L
Nature communications 2021 Aug 13;12(1):4926
Nature communications 2021 Aug 13;12(1):4926
Progerin accumulation in nucleus pulposus cells impairs mitochondrial function and induces intervertebral disc degeneration and therapeutic effects of sulforaphane.
Xu X, Wang D, Zheng C, Gao B, Fan J, Cheng P, Liu B, Yang L, Luo Z
Theranostics 2019;9(8):2252-2267
Theranostics 2019;9(8):2252-2267
A toolbox of anti-mouse and anti-rabbit IgG secondary nanobodies.
Pleiner T, Bates M, Görlich D
The Journal of cell biology 2018 Mar 5;217(3):1143-1154
The Journal of cell biology 2018 Mar 5;217(3):1143-1154
Depletion of thymopoietin inhibits proliferation and induces cell cycle arrest/apoptosis in glioblastoma cells.
Zhang L, Wang G, Chen S, Ding J, Ju S, Cao H, Tian H
World journal of surgical oncology 2016 Oct 19;14(1):267
World journal of surgical oncology 2016 Oct 19;14(1):267
MacroH2A1 associates with nuclear lamina and maintains chromatin architecture in mouse liver cells.
Fu Y, Lv P, Yan G, Fan H, Cheng L, Zhang F, Dang Y, Wu H, Wen B
Scientific reports 2015 Nov 25;5:17186
Scientific reports 2015 Nov 25;5:17186
No comments: Submit comment
Supportive validation
- Submitted by
- Proteintech Group (provider)
- Main image

- Experimental details
- K-562 cells were subjected to SDS PAGE followed by western blot with 14651-1-AP(TMPO antibody) at dilution of 1:500
- Sample type
- cell line
Supportive validation
- Submitted by
- Proteintech Group (provider)
- Main image

- Experimental details
- Immunohistochemical of paraffin-embedded human skin cancer using 14651-1-AP(TMPO antibody) at dilution of 1:100 (under 10x lens)
- Sample type
- tissue
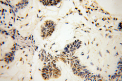
- Submitted by
- Proteintech Group (provider)
- Main image

- Experimental details
- Immunohistochemical of paraffin-embedded human skin cancer using 14651-1-AP(TMPO antibody) at dilution of 1:100 (under 40x lens)
- Sample type
- tissue