Antibody data
- Antibody Data
- Antigen structure
- References [0]
- Comments [0]
- Validations
- Immunohistochemistry [2]
Submit
Validation data
Reference
Comment
Report error
- Product number
- PA5-68390 - Provider product page

- Provider
- Invitrogen Antibodies
- Product name
- CDADC1 Polyclonal Antibody
- Antibody type
- Polyclonal
- Antigen
- Other
- Reactivity
- Human, Mouse
- Host
- Rabbit
- Isotype
- IgG
- Vial size
- 100 μL
- Concentration
- 0.8 mg/mL
- Storage
- -20°C
No comments: Submit comment
Supportive validation
- Submitted by
- Invitrogen Antibodies (provider)
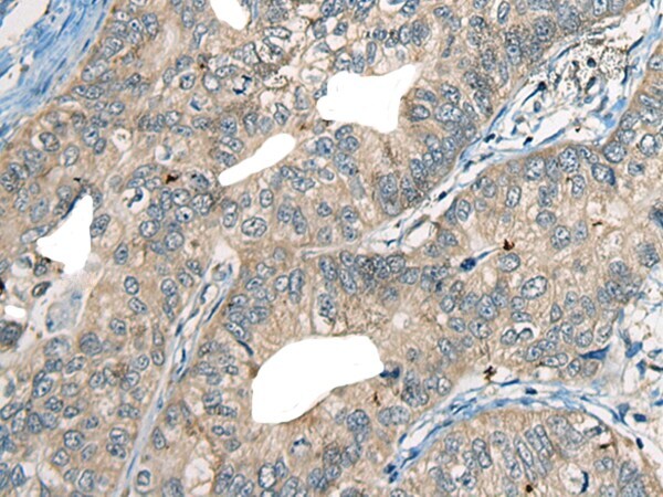
- Main image

- Experimental details
- Immunohistochemical analysis of CDADC1 in paraffin-embedded Human lung cancer tissue using (left) CDADC1 Polyclonal Antibody (Product # PA5-68390). at a 1:60 dilution and (right) is treated with fusion protein. (Original magnification: x200).
- Submitted by
- Invitrogen Antibodies (provider)
- Main image

- Experimental details
- Immunohistochemical analysis of CDADC1 in paraffin-embedded Human gastric cancer tissue using (left) CDADC1 Polyclonal Antibody (Product # PA5-68390). at a 1:60 dilution and (right) is treated with fusion protein. (Original magnification: x200).