Antibody data
- Antibody Data
- Antigen structure
- References [0]
- Comments [0]
- Validations
- Western blot [1]
- Immunocytochemistry [1]
- Immunohistochemistry [6]
Submit
Validation data
Reference
Comment
Report error
- Product number
- PA5-60313 - Provider product page

- Provider
- Invitrogen Antibodies
- Product name
- CABIN1 Polyclonal Antibody
- Antibody type
- Polyclonal
- Antigen
- Recombinant protein fragment
- Description
- Immunogen sequence: EPGGKVGLLN HRPVAMDAGD SADQSGERKD KESPRAGPTE PMDTSEATVC HSDLERTPPL LPGRPARDRG PESRPTELSL E Highest antigen sequence identity to the following orthologs: Mouse - 70%, Rat - 68%.
- Reactivity
- Human
- Host
- Rabbit
- Isotype
- IgG
- Vial size
- 100 μL
- Concentration
- 0.2 mg/mL
- Storage
- Store at 4°C short term. For long term storage, store at -20°C, avoiding freeze/thaw cycles.
No comments: Submit comment
Supportive validation
- Submitted by
- Invitrogen Antibodies (provider)
- Main image

- Experimental details
- Western blot was performed using Anti-CABIN1 Polyclonal Antibody (Product # PA5-60313) and a 246 kDa band corresponding to Calcineurin-binding protein cabin-1 was observed across all the cell lines tested along with uncharacterized bands (*). Nuclear enriched extracts (30 µg lysate) of HeLa (Lane 1), IMR-90 (Lane 2), HUVEC (Lane 3), HCT 116 (Lane 4), SH-SY5Y (Lane 5) were electrophoresed using NuPAGE™ 3-8% Tris-Acetate Protein Gel (Product # EA0378BOX). Resolved proteins were then transferred onto a Nitrocellulose membrane (Product # IB23001) by iBlot® 2 Dry Blotting System (Product # IB21001). The blot was probed with the primary antibody (1 µg/mL) and detected by chemiluminescence with Goat anti-Rabbit IgG (H+L) Superclonal™ Recombinant Secondary Antibody, HRP (Product # A27036, 1:4000 dilution) using the iBright FL 1000 (Product # A32752). Chemiluminescent detection was performed using SuperSignal™ West Dura Extended Duration Substrate (Product # 34076).
Supportive validation
- Submitted by
- Invitrogen Antibodies (provider)
- Main image

- Experimental details
- Immunofluorecent analysis of CABIN1 in human cell line A-431 using CABIN1 Polyclonal Antibody (Product # PA5-60313). Staining shows localization to nucleoplasm and cytosol.
Supportive validation
- Submitted by
- Invitrogen Antibodies (provider)
- Main image

- Experimental details
- Immunohistochemical analysis of CABIN1 in human testis using CABIN1 Polyclonal Antibody (Product # PA5-60313) shows moderate nuclear positivity in cells in seminiferous ducts.
- Submitted by
- Invitrogen Antibodies (provider)
- Main image

- Experimental details
- Immunohistochemical analysis of CABIN1 in human fallopian tube using CABIN1 Polyclonal Antibody (Product # PA5-60313) shows moderate nuclear positivity in glandular cells.
- Submitted by
- Invitrogen Antibodies (provider)
- Main image

- Experimental details
- Immunohistochemical analysis of CABIN1 in human lymph node using CABIN1 Polyclonal Antibody (Product # PA5-60313) shows strong nuclear positivity in germinal and non-germinal center cells.
- Submitted by
- Invitrogen Antibodies (provider)
- Main image

- Experimental details
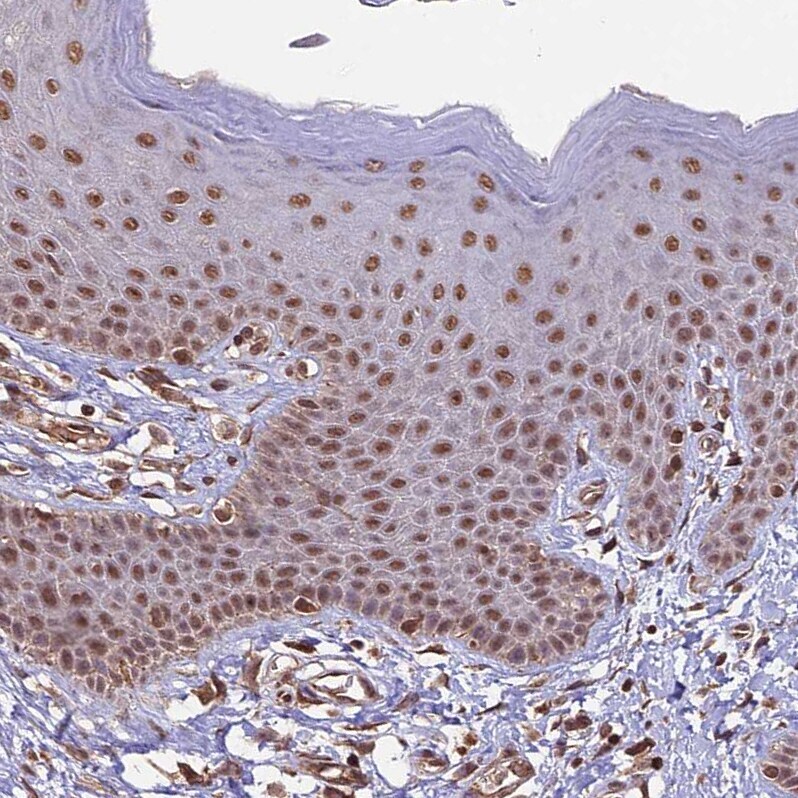
- Immunohistochemical analysis of CABIN1 in human skin using CABIN1 Polyclonal Antibody (Product # PA5-60313) shows moderate nuclear positivity in squamous epithelial cells.
- Submitted by
- Invitrogen Antibodies (provider)
- Main image

- Experimental details
- Immunohistochemical analysis of CABIN1 in human lymph node using CABIN1 Polyclonal Antibody (Product # PA5-60313) shows strong nuclear positivity in germinal and non-germinal center cells.
- Submitted by
- Invitrogen Antibodies (provider)
- Main image

- Experimental details
- Immunohistochemical analysis of CABIN1 in human skin using CABIN1 Polyclonal Antibody (Product # PA5-60313) shows moderate nuclear positivity in squamous epithelial cells.