Antibody data
- Antibody Data
- Antigen structure
- References [1]
- Comments [0]
- Validations
- Immunohistochemistry [1]
Submit
Validation data
Reference
Comment
Report error
- Product number
- HPA041125 - Provider product page

- Provider
- Atlas Antibodies
- Proper citation
- Atlas Antibodies Cat#HPA041125, RRID:AB_10794264
- Product name
- Anti-ZG16B
- Antibody type
- Polyclonal
- Description
- Polyclonal Antibody against Human ZG16B, Gene description: zymogen granule protein 16B, Alternative Gene Names: HRPE773, JCLN2, PRO1567, Validated applications: WB, IHC, Uniprot ID: Q96DA0, Storage: Store at +4°C for short term storage. Long time storage is recommended at -20°C.
- Reactivity
- Human
- Host
- Rabbit
- Conjugate
- Unconjugated
- Isotype
- IgG
- Vial size
- 100 µl
- Concentration
- 0.05 mg/ml
- Storage
- Store at +4°C for short term storage. Long time storage is recommended at -20°C.
- Handling
- The antibody solution should be gently mixed before use.
Submitted references Salivary ZG16B expression loss follows exocrine gland dysfunction related to oral chronic graft-versus-host disease.
Costa-da-Silva AC, Aure MH, Dodge J, Martin D, Dhamala S, Cho M, Rose JJ, Bassim CW, Ambatipudi K, Hakim FT, Pavletic SZ, Mays JW
iScience 2022 Jan 21;25(1):103592
iScience 2022 Jan 21;25(1):103592
No comments: Submit comment
Supportive validation
- Submitted by
- Atlas Antibodies (provider)
- Enhanced method
- Orthogonal validation
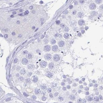
- Main image

- Experimental details
- Immunohistochemistry analysis in human salivary gland and testis tissues using HPA041125 antibody. Corresponding ZG16B RNA-seq data are presented for the same tissues.
- Sample type
- Human
- Protocol
- Protocol