Antibody data
- Antibody Data
- Antigen structure
- References [0]
- Comments [0]
- Validations
- Western blot [1]
- Immunocytochemistry [2]
- Immunohistochemistry [3]
Submit
Validation data
Reference
Comment
Report error
- Product number
- LS-B15866 - Provider product page

- Provider
- LSBio
- Product name
- IHC-plus™ TPP1 / CLN2 Antibody (aa66-324) LS-B15866
- Antibody type
- Polyclonal
- Description
- Immunoaffinity purified
- Reactivity
- Human, Mouse
- Host
- Rabbit
- Isotype
- IgG
- Storage
- Keep as concentrated solution. For short term storage (1-2 weeks), store at 4°C. For long-term storage, aliquot and store at -20°C or below. Avoid multiple freeze-thaw cycles.
No comments: Submit comment
Enhanced validation
- Submitted by
- LSBio (provider)
- Enhanced method
- Genetic validation
- Main image

- Experimental details
- Sample (30 ug of whole cell lysate). A: A431 , B: H1299, C: Hela. 7.5% SDS PAGE. TPP1 antibody diluted at 1:1000.
Supportive validation
- Submitted by
- LSBio (provider)
- Main image

- Experimental details
- Immunofluorescence of methanol-fixed A431 using TPP1 antibody at 1:200 dilution.
- Submitted by
- LSBio (provider)
- Main image

- Experimental details
- Immunofluorescence of methanol-fixed A431 using TPP1 antibody at 1:200 dilution.
Enhanced validation
- Submitted by
- LSBio (provider)
- Enhanced method
- Genetic validation
- Main image

- Experimental details
- IHC of paraffin-embedded SW480 xenograft using TPP1 antibody at 1:100 dilution.
- Submitted by
- LSBio (provider)
- Enhanced method
- Genetic validation
- Main image

- Experimental details
- IHC of paraffin-embedded SW480 xenograft using TPP1 antibody at 1:100 dilution.
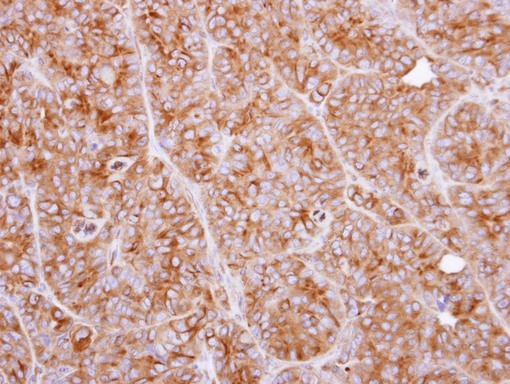
- Submitted by
- LSBio (provider)
- Main image

- Experimental details
- IHC of paraffin-embedded SW480 xenograft using TPP1 antibody at 1:100 dilution.