Antibody data
- Antibody Data
- Antigen structure
- References [0]
- Comments [0]
- Validations
- Western blot [1]
- Immunohistochemistry [2]
Submit
Validation data
Reference
Comment
Report error
- Product number
- GTX119659 - Provider product page

- Provider
- GeneTex
- Proper citation
- GeneTex Cat#GTX119659, RRID:AB_10618246
- Product name
- SEC3 antibody [C2C3], C-term
- Antibody type
- Polyclonal
- Reactivity
- Human, Mouse
- Host
- Rabbit
No comments: Submit comment
Supportive validation
- Submitted by
- GeneTex (provider)
- Main image

- Experimental details
- Sample (30 ug of whole cell lysate) A: A431 (GTX27909) 7.5% SDS PAGE GTX119659 diluted at 1:1000
- Validation comment
- WB
Supportive validation
- Submitted by
- GeneTex (provider)
- Main image

- Experimental details
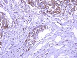
- SEC3 antibody detects EXOC1 protein at cytoplasm on Colon cancer xenograft by immunohistochemical analysis. Sample: Paraffin-embedded Colon cancer xenograft. SEC3 antibody (GTX119659) dilution: 1:500.
- Submitted by
- GeneTex (provider)
- Main image

- Experimental details
- SEC3 antibody [C2C3], C-term detects SEC3 protein at cytoplasm in mouse heart by immunohistochemical analysis. Sample: Paraffin-embedded mouse heart. SEC3 antibody [C2C3], C-term (GTX119659) diluted at 1:500.