Antibody data
- Antibody Data
- Antigen structure
- References [0]
- Comments [0]
- Validations
- Western blot [2]
- ELISA [1]
- Immunohistochemistry [2]
Submit
Validation data
Reference
Comment
Report error
- Product number
- AM21009PU-N - Provider product page

- Provider
- OriGene
- Product name
- WDR58 (THOC6) (71-181) mouse monoclonal antibody, clone 1F6
- Antibody type
- Monoclonal
- Description
- WDR58 (THOC6) (71-181) mouse monoclonal antibody, clone 1F6
- Host
- Mouse
- Conjugate
- Unconjugated
- Epitope
- THOC6
- Isotype
- IgG
- Antibody clone number
- 1F6
- Vial size
- 50 µg
- Concentration
- 0.31 mg/ml
No comments: Submit comment
Supportive validation
- Submitted by
- OriGene (provider)
- Main image

- Experimental details
- WDR58 monoclonal antibody, clone 1F6. Western Blot analysis of WDR58 expression in PC-12.
- Validation comment
- WB
- Submitted by
- OriGene (provider)
- Main image

- Experimental details
- WDR58 monoclonal antibody, clone 1F6 Western Blot analysis of WDR58 expression in A-431.
- Validation comment
- WB
Supportive validation
- Submitted by
- OriGene (provider)
- Main image

- Experimental details
- Detection limit for recombinant GST tagged WDR58 is approximately 0.3 ng/ml as a capture antibody.
- Validation comment
- ELISA
Supportive validation
- Submitted by
- OriGene (provider)
- Main image

- Experimental details
- Human Prostate: Formalin-Fixed, Paraffin-Embedded (FFPE)
- Validation comment
- IHC
- Submitted by
- OriGene (provider)
- Main image

- Experimental details
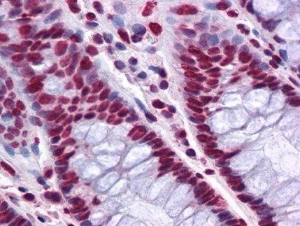
- Human Colon: Formalin-Fixed, Paraffin-Embedded (FFPE)
- Validation comment
- IHC