Antibody data
- Antibody Data
- Antigen structure
- References [0]
- Comments [0]
- Validations
- Western blot [2]
- Immunocytochemistry [2]
- Immunohistochemistry [3]
Submit
Validation data
Reference
Comment
Report error
- Product number
- TA500824 - Provider product page

- Provider
- OriGene
- Proper citation
- OriGene Cat#TA500824, RRID:AB_11125891
- Product name
- Anti-ACO2 (Aconitase 2) mouse monoclonal antibody, clone OTI3G8 (formerly 3G8)
- Antibody type
- Monoclonal
- Description
- Anti-ACO2 (Aconitase 2) mouse monoclonal antibody, clone OTI3G8 (formerly 3G8)
- Host
- Mouse
- Conjugate
- Unconjugated
- Epitope
- ACO2
- Isotype
- IgG
- Antibody clone number
- OTI3G8
- Vial size
- 100 µl
- Concentration
- 0.9 mg/ml
No comments: Submit comment
Supportive validation
- Submitted by
- OriGene (provider)
- Main image

- Experimental details
- HEK293T cells were transfected with the pCMV6-ENTRY control (Left lane) or pCMV6-ENTRY ACO2 (RC204307, Right lane) cDNA for 48 hrs and lysed. Equivalent amounts of cell lysates (5 ug per lane) were separated by SDS-PAGE and immunoblotted with anti-ACO2.
- Validation comment
- WB
- Submitted by
- OriGene (provider)
- Main image

- Experimental details
- Western blot analysis of extracts (10ug) from 10 Human tissue by using anti-ACO2 monoclonal antibody at 1:200 (1: Testis; 2: Omentum; 3: Uterus; 4: Breast; 5: Brain; 6: Liver; 7: Ovary; 8: Thyroid gland; 9: colon;10: spleen).
- Validation comment
- WB
Supportive validation
- Submitted by
- OriGene (provider)
- Main image

- Experimental details
- Anti-ACO2 mouse monoclonal antibody (TA500824) immunofluorescent staining of COS7 cells transiently transfected by pCMV6-ENTRY ACO2(RC204307).
- Validation comment
- IF
- Submitted by
- OriGene (provider)
- Main image

- Experimental details
- Immunofluorescent staining of HepG2 cells using anti-ACO2 mouse monoclonal antibody (TA500824).
- Validation comment
- IF
Supportive validation
- Submitted by
- OriGene (provider)
- Main image

- Experimental details
- Immunohistochemical staining of paraffin-embedded Adenocarcinoma of breast tissue using anti-ACO2 mouse monoclonal antibody. (Heat-induced epitope retrieval by 10mM citric buffer, pH6.0, 100C for 10min, TA500824, Dilution 1:50)
- Validation comment
- IHC
- Submitted by
- OriGene (provider)
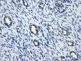
- Main image

- Experimental details
- Immunohistochemical staining of paraffin-embedded Kidney tissue within the normal limits using anti-ACO2mouse monoclonal antibody. (Heat-induced epitope retrieval by 10mM citric buffer, pH6.0, 100C for 10min, TA500824, Dilution 1:50)
- Validation comment
- IHC
- Submitted by
- OriGene (provider)
- Main image

- Experimental details
- Immunohistochemical staining of paraffin-embedded Ovary tissue within the normal limits using anti-ACO2mouse monoclonal antibody. (Heat-induced epitope retrieval by 10mM citric buffer, pH6.0, 100C for 10min, TA500824, Dilution 1:50)
- Validation comment
- IHC