Antibody data
- Antibody Data
- Antigen structure
- References [0]
- Comments [0]
- Validations
- Western blot [1]
- Immunohistochemistry [1]
Submit
Validation data
Reference
Comment
Report error
- Product number
- GTX115096 - Provider product page

- Provider
- GeneTex
- Proper citation
- GeneTex Cat#GTX115096, RRID:AB_10619478
- Product name
- RanBP3 antibody [N3C2], Internal
- Antibody type
- Polyclonal
- Reactivity
- Human
- Host
- Rabbit
No comments: Submit comment
Supportive validation
- Submitted by
- GeneTex (provider)
- Main image

- Experimental details
- Sample (30 ug of whole cell lysate) A: JurKat B: Raji 10% SDS PAGE GTX115096 diluted at 1:1000
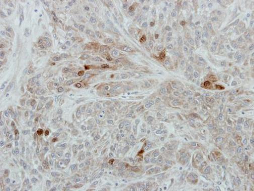
Supportive validation
- Submitted by
- GeneTex (provider)
- Main image

- Experimental details
- Immunohistochemical analysis of paraffin-embedded A549 xenograft, using Ran BP3(GTX115096) antibody at 1:100 dilution.