Antibody data
- Antibody Data
- Antigen structure
- References [0]
- Comments [0]
- Validations
- Immunocytochemistry [1]
- Immunohistochemistry [3]
Submit
Validation data
Reference
Comment
Report error
- Product number
- PA5-64478 - Provider product page

- Provider
- Invitrogen Antibodies
- Product name
- ARL9 Polyclonal Antibody
- Antibody type
- Polyclonal
- Antigen
- Recombinant full-length protein
- Description
- Immunogen sequence: KQDLEAAYHI TDIHEALALS EVGNDRKMFL FGTYLTKNGS EIPSTMQDAK DLIA Highest antigen sequence identity to the following orthologs: Mouse - 91%, Rat - 83%.
- Reactivity
- Human
- Host
- Rabbit
- Isotype
- IgG
- Vial size
- 100 μL
- Concentration
- 0.1 mg/mL
- Storage
- Store at 4°C short term. For long term storage, store at -20°C, avoiding freeze/thaw cycles.
No comments: Submit comment
Supportive validation
- Submitted by
- Invitrogen Antibodies (provider)
- Main image

- Experimental details
- Immunofluorescent staining of ARL9 in human cell line PC-3 using an ARL9 Polyclonal Antibody (Product # PA5-64478) shows localization to nucleoli and mitochondria.
Supportive validation
- Submitted by
- Invitrogen Antibodies (provider)
- Main image

- Experimental details
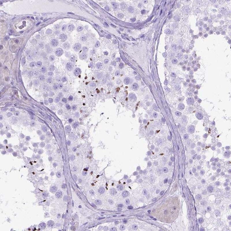
- Immunohistochemical analysis of ARL9 in human testis using ARL9 Polyclonal Antibody (Product # PA5-64478) shows high expression.
- Submitted by
- Invitrogen Antibodies (provider)
- Main image

- Experimental details
- Immunohistochemical staining of ARL9 in human testis and skeletal muscle tissues using ARL9 Polyclonal Antibody (Product # PA5-64478). Corresponding ARL9 RNA-seq data are presented for the same tissues.
- Submitted by
- Invitrogen Antibodies (provider)
- Main image

- Experimental details
- Immunohistochemical staining of ARL9 in human skeletal muscle using ARL9 Polyclonal Antibody (Product # PA5-64478) shows low expression as expected.