Antibody data
- Antibody Data
- Antigen structure
- References [0]
- Comments [0]
- Validations
- Western blot [1]
- Immunohistochemistry [1]
Submit
Validation data
Reference
Comment
Report error
- Product number
- GTX115761 - Provider product page

- Provider
- GeneTex
- Proper citation
- GeneTex Cat#GTX115761, RRID:AB_10625660
- Product name
- EML2 antibody [N1N3]
- Antibody type
- Polyclonal
- Reactivity
- Human
- Host
- Rabbit
No comments: Submit comment
Supportive validation
- Submitted by
- GeneTex (provider)
- Main image

- Experimental details
- Sample (30 ug of whole cell lysate) A: A549 10% SDS PAGE GTX115761 diluted at 1:1000
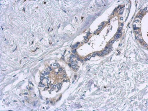
Supportive validation
- Submitted by
- GeneTex (provider)
- Main image

- Experimental details
- Immunohistochemical analysis of paraffin-embedded human gastric cancer, using EML2(GTX115761) antibody at 1:500 dilution.