NBP2-37308
antibody from Novus Biologicals
Targeting: CD93
C1qR(P), C1QR1, C1qRP, CDw93, dJ737E23.1, ECSM3, MXRA4
Antibody data
- Antibody Data
- Antigen structure
- References [0]
- Comments [0]
- Validations
- Western blot [2]
- ELISA [1]
- Immunohistochemistry [1]
- Flow cytometry [1]
Submit
Validation data
Reference
Comment
Report error
- Product number
- NBP2-37308 - Provider product page

- Provider
- Novus Biologicals
- Product name
- Mouse Monoclonal C1qR1/CD93 Antibody
- Antibody type
- Monoclonal
- Description
- Unpurified.
- Reactivity
- Human
- Host
- Mouse
- Isotype
- IgG
- Vial size
- 0.1 ml
- Storage
- Store at 4C short term. Aliquot and store at -20C long term. Avoid freeze-thaw cycles.
No comments: Submit comment
Supportive validation
- Submitted by
- Novus Biologicals (provider)
- Main image

- Experimental details
- Western Blot: C1qR1/CD93 Antibody (1A10E10) [NBP2-37308] - Analysis using CD93 mAb against human CD93 recombinant protein. (Expected MW is 31.7 kDa)
- Submitted by
- Novus Biologicals (provider)
- Main image

- Experimental details
- Western Blot: C1qR1/CD93 Antibody (1A10E10) [NBP2-37308] - Analysis using CD93 mAb against HEK293 (1) and CD93 (AA: 474-535)-hIgGFc transfected HEK293 (2) cell lysate.
Supportive validation
- Submitted by
- Novus Biologicals (provider)
- Main image

- Experimental details
- ELISA: C1qR1/CD93 Antibody (1A10E10) [NBP2-37308] - Red: Control Antigen (100ng); Purple: Antigen (10ng); Green: Antigen (50ng); Blue: Antigen (100ng);
Supportive validation
- Submitted by
- Novus Biologicals (provider)
- Main image

- Experimental details
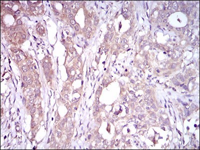
- Immunohistochemistry-Paraffin: C1qR1/CD93 Antibody (1A10E10) [NBP2-37308] - Analysis of paraffin-embedded cervical cancer tissues using CD93 mouse mAb with DAB staining.
Supportive validation
- Submitted by
- Novus Biologicals (provider)
- Main image

- Experimental details
- Flow Cytometry: C1qR1/CD93 Antibody (1A10E10) [NBP2-37308] - Analysis of HepG2 cells using CD93 mouse mAb (green) and negative control (red).