Antibody data
- Antibody Data
 - Antigen structure
 - References [0]
 - Comments [0]
 - Validations
 - Immunohistochemistry [1]
 
Submit
Validation data
Reference
Comment
Report error
- Product number
 - 22035 - Provider product page

 - Provider
 - Signalway Antibody LLC
 - Proper citation
 - Signalway Cat#22035, RRID:AB_11122680
 - Product name
 - ribosome binding protein 1 antibody
 - Antibody type
 - Polyclonal
 - Antigen
 - Recombinant protein fragment contain a sequence corresponding to a region within amino acids 1 and 181 of ribosome binding protein 1
 - Host
 - Rabbit
 - Conjugate
 - Unconjugated
 - Vial size
 - 100µl
 
				No comments: Submit comment	
	
			
							
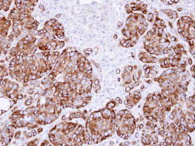
					Supportive validation
					
									
				
		- Submitted by
 - Signalway Antibody LLC (provider)
 - Main image
 
- Experimental details
 - Immunohistochemical analysis of paraffin-embedded SW480 xenograft, using ribosome binding protein 1 antibody at 1: 500 dilution.