Antibody data
- Antibody Data
 - Antigen structure
 - References [0]
 - Comments [0]
 - Validations
 - Immunohistochemistry [1]
 
Submit
Validation data
Reference
Comment
Report error
- Product number
 - A07074-1 - Provider product page

 - Provider
 - Boster Biological Technology
 - Product name
 - Anti-RRBP1 Antibody Picoband™
 - Antibody type
 - Polyclonal
 - Description
 - Rabbit IgG polyclonal antibody for RRBP1 detection. Tested with WB, IHC-P, IHC-F, ICC/IF, FCM in Human;Mouse;Rat.
 - Reactivity
 - Human, Mouse, Rat
 - Host
 - Rabbit
 - Vial size
 - 100μg/vial
 - Concentration
 - 0.5-1mg/ml, actual concentration vary by lot. Use suggested dilution ratio to decide dilution procedure.
 - Storage
 - At -20°C; for one year. After reconstitution, at 4°C for one month. It can also be aliquoted and stored frozen at -20°C for a longer time. Avoid repeated freezing and thawing.
 
				No comments: Submit comment	
	
			
							
					Supportive validation
					
									
				
		- Submitted by
 - Boster Biological Technology (provider)
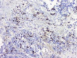
 - Main image
 
- Experimental details
 - IHC analysis of RRBP1 using anti-RRBP1 antibody (A07074-1).RRBP1 was detected in paraffin-embedded section of human intestinal cancer tissue. Heat mediated antigen retrieval was performed in citrate buffer (pH6, epitope retrieval solution) for 20 mins. The tissue section was blocked with 10% goat serum. The tissue section was then incubated with 1μg/ml rabbit anti-RRBP1 Antibody (A07074-1) overnight at 4°C. Biotinylated goat anti-rabbit IgG was used as secondary antibody and incubated for 30 minutes at 37°C. The tissue section was developed using Strepavidin-Biotin-Complex (SABC)(Catalog # SA1022) with DAB as the chromogen.
 - Additional image
 