Antibody data
- Antibody Data
- Antigen structure
- References [2]
- Comments [0]
- Validations
- Western blot [1]
- Immunohistochemistry [2]
Submit
Validation data
Reference
Comment
Report error
- Product number
- 13059-1-AP - Provider product page

- Provider
- Proteintech Group
- Proper citation
- Proteintech Cat#13059-1-AP, RRID:AB_2069463
- Product name
- CALML5 antibody
- Antibody type
- Polyclonal
- Description
- CALML5 antibody (Cat. #13059-1-AP) is a rabbit polyclonal antibody that shows reactivity with human and has been validated for the following applications: IHC,ELISA.
- Reactivity
- Human
- Host
- Rabbit
- Conjugate
- Unconjugated
- Isotype
- IgG
- Vial size
- 20ul, 150ul
Submitted references Dalpiciclib partially abrogates ER signaling activation induced by pyrotinib in HER2(+)HR(+) breast cancer.
Loss of ELF3 immunoexpression is useful for detecting oral squamous cell carcinoma but not for distinguishing between grades of epithelial dysplasia.
Bu J, Zhang Y, Niu N, Bi K, Sun L, Qiao X, Wang Y, Zhang Y, Jiang X, Wang D, Ma Q, Li H, Liu C
eLife 2023 Jan 5;12
eLife 2023 Jan 5;12
Loss of ELF3 immunoexpression is useful for detecting oral squamous cell carcinoma but not for distinguishing between grades of epithelial dysplasia.
AbdulMajeed AA, Dalley AJ, Farah CS
Annals of diagnostic pathology 2013 Aug;17(4):331-40
Annals of diagnostic pathology 2013 Aug;17(4):331-40
No comments: Submit comment
Supportive validation
- Submitted by
- Proteintech Group (provider)
- Main image

- Experimental details
- A431 cells were subjected to SDS PAGE followed by western blot with 13059-1-AP(CALML5 antibody) at dilution of 1:400
- Sample type
- cell line
Supportive validation
- Submitted by
- Proteintech Group (provider)
- Main image

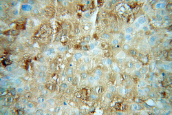
- Experimental details
- Immunohistochemical of paraffin-embedded human skin cancer using 13059-1-AP(CALML5 antibody) at dilution of 1:500 (under 10x lens)
- Sample type
- tissue
- Submitted by
- Proteintech Group (provider)
- Main image

- Experimental details
- The CALML5 antibody from Proteintech is a rabbit polyclonal antibody to a recombinant protein of human CALML5. This antibody recognizes human antigen. The CALML5 antibody has been validated for the following applications: ELISA, WB, IHC analysis.