Antibody data
- Antibody Data
- Antigen structure
- References [0]
- Comments [0]
- Validations
- Western blot [2]
- Immunocytochemistry [1]
- Immunohistochemistry [1]
Submit
Validation data
Reference
Comment
Report error
- Product number
- GTX114954 - Provider product page

- Provider
- GeneTex
- Proper citation
- GeneTex Cat#GTX114954, RRID:AB_10620469
- Product name
- CALML3 antibody [N1C3]
- Antibody type
- Polyclonal
- Reactivity
- Human, Mouse
- Host
- Rabbit
No comments: Submit comment
Supportive validation
- Submitted by
- GeneTex (provider)
- Main image

- Experimental details
- Sample (30 ug of whole cell lysate) A: A431 (GTX27909) 15% SDS PAGE GTX114954 diluted at 1:1000
- Submitted by
- GeneTex (provider)
- Main image

- Experimental details
- Mouse tissue extract (50 ?g) was separated by 15% SDS-PAGE, and the membrane was blotted with CALML3 antibody [N1C3] (GTX114954) diluted at 1:1000.
Supportive validation
- Submitted by
- GeneTex (provider)
- Main image

- Experimental details
- Immunofluorescence analysis of methanol-fixed A431, using CALML3(GTX114954) antibody at 1:200 dilution.
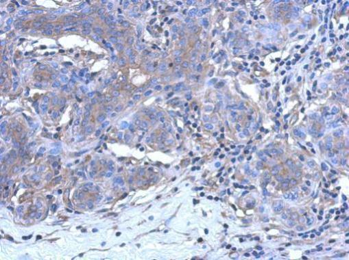
Supportive validation
- Submitted by
- GeneTex (provider)
- Main image

- Experimental details
- Immunohistochemical analysis of paraffin-embedded human breast cancer, using CALML3(GTX114954) antibody at 1:500 dilution.