Antibody data
- Antibody Data
- Antigen structure
- References [1]
- Comments [0]
- Validations
- Western blot [1]
- Immunohistochemistry [1]
Submit
Validation data
Reference
Comment
Report error
- Product number
- GTX105887 - Provider product page

- Provider
- GeneTex
- Proper citation
- GeneTex Cat#GTX105887, RRID:AB_1950235
- Product name
- ETNK1 antibody [N2C3]
- Antibody type
- Polyclonal
- Reactivity
- Human, Mouse
- Host
- Rabbit
Submitted references Fatty acid and phospholipid biosynthetic pathways are regulated throughout mammary epithelial cell differentiation and correlate to breast cancer survival.
Dória ML, Ribeiro AS, Wang J, Cotrim CZ, Domingues P, Williams C, Domingues MR, Helguero LA
FASEB journal : official publication of the Federation of American Societies for Experimental Biology 2014 Oct;28(10):4247-64
FASEB journal : official publication of the Federation of American Societies for Experimental Biology 2014 Oct;28(10):4247-64
No comments: Submit comment
Supportive validation
- Submitted by
- GeneTex (provider)
- Main image

- Experimental details
- Sample(30 ug whole cell lysate)A:A431(GTX27909)B:Hep G2 (GTX27900)10% SDS PAGEGTX105887 diluted at 1:1000
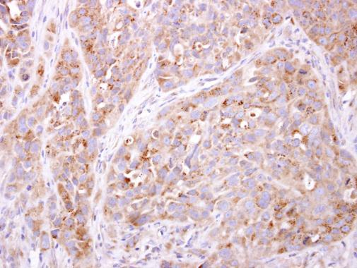
Supportive validation
- Submitted by
- GeneTex (provider)
- Main image

- Experimental details
- ETNK1 antibody [N2C3] detects ETNK1 protein at cytosol on H358 xenograft by immunohistochemical analysis. Sample: Paraffin-embedded H358 xenograft. ETNK1 antibody [N2C3] (GTX105887) dilution: 1:500.