Antibody data
- Antibody Data
- Antigen structure
- References [0]
- Comments [0]
- Validations
- Western blot [1]
- Immunohistochemistry [5]
Submit
Validation data
Reference
Comment
Report error
- Product number
- NBP2-45876 - Provider product page

- Provider
- Novus Biologicals
- Product name
- Mouse monoclonal NRIP3 Antibody
- Antibody type
- Monoclonal
- Description
- Affinity purified.
- Reactivity
- Human
- Host
- Mouse
- Isotype
- IgG
- Vial size
- 0.1 ml
- Concentration
- 1 mg/ml
- Storage
- Store at -20C. Avoid freeze-thaw cycles.
No comments: Submit comment
Supportive validation
- Submitted by
- Novus Biologicals (provider)
- Main image

- Experimental details
- Western Blot: NRIP3 Antibody (1A9) [NBP2-45876] - Analysis of HEK293T cells were transfected with the pCMV6-ENTRY control (Left lane) or pCMV6-ENTRY NRIP3.
Supportive validation
- Submitted by
- Novus Biologicals (provider)
- Main image

- Experimental details
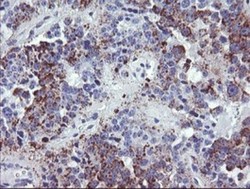
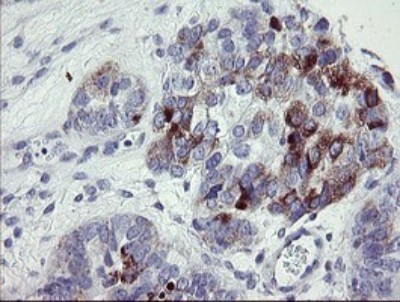
- Immunohistochemistry: NRIP3 Antibody (1A9) [NBP2-45876] - Analysis of Carcinoma of Human pancreas tissue.
- Submitted by
- Novus Biologicals (provider)
- Main image

- Experimental details
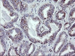
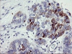
- Immunohistochemistry: NRIP3 Antibody (1A9) [NBP2-45876] - Analysis of Carcinoma of Human prostate tissue.
- Submitted by
- Novus Biologicals (provider)
- Main image

- Experimental details
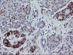
- Immunohistochemistry: NRIP3 Antibody (1A9) [NBP2-45876] - Analysis of Human pancreas tissue.
- Submitted by
- Novus Biologicals (provider)
- Main image

- Experimental details
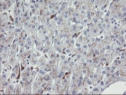
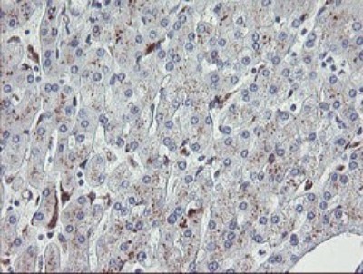
- Immunohistochemistry: NRIP3 Antibody (1A9) [NBP2-45876] - Analysis of Human liver tissue.
- Submitted by
- Novus Biologicals (provider)
- Main image

- Experimental details
- Immunohistochemistry: NRIP3 Antibody (1A9) [NBP2-45876] - Analysis of Adenocarcinoma of Human ovary tissue.