Antibody data
- Antibody Data
- Antigen structure
- References [27]
- Comments [0]
- Validations
- Western blot [1]
- Immunocytochemistry [1]
- Immunohistochemistry [2]
Submit
Validation data
Reference
Comment
Report error
- Product number
- 17280-1-AP - Provider product page

- Provider
- Proteintech Group
- Proper citation
- Proteintech Cat#17280-1-AP, RRID:AB_2180510
- Product name
- MRPS27 antibody
- Antibody type
- Polyclonal
- Description
- KD/KO validated MRPS27 antibody (Cat. #17280-1-AP) is a rabbit polyclonal antibody that shows reactivity with human, mouse, rat and has been validated for the following applications: IF, IHC, IP, WB,ELISA.
- Reactivity
- Human, Mouse, Rat
- Host
- Rabbit
- Conjugate
- Unconjugated
- Isotype
- IgG
- Vial size
- 20ul, 150ul
Submitted references Four-Color STED Super-Resolution RNA Fluorescent In Situ Hybridization and Immunocytochemistry to Visualize Mitochondrial mRNAs in Context with Mitochondrial Ribosomes.
Isolating Mitochondria, Mitoplasts, and mtDNA from Cultured Mammalian Cells.
Mitochondrial RNA methyltransferase TRMT61B is a new, potential biomarker and therapeutic target for highly aneuploid cancers.
Mitochondrial Protein SLIRP Affects Biosynthesis of Cytochrome c Oxidase Subunits in HEK293T Cells.
The ribosome inhibitor chloramphenicol induces motility deficits in human spermatozoa: A proteomic approach identifies potentially involved proteins.
Pentatricopeptide Protein PTCD2 Regulates COIII Translation in Mitochondria of the HeLa Cell Line.
Nonstop mRNAs generate a ground state of mitochondrial gene expression noise.
Translation of MT-ATP6 pathogenic variants reveals distinct regulatory consequences from the co-translational quality control of mitochondrial protein synthesis.
Sucrose Gradient Sedimentation Analysis of Mitochondrial Ribosomes.
Mitochondrial Translation Occurs Preferentially in the Peri-Nuclear Mitochondrial Network of Cultured Human Cells.
Mitochondrial stress response triggered by defects in protein synthesis quality control.
A variant in MRPS14 (uS14m) causes perinatal hypertrophic cardiomyopathy with neonatal lactic acidosis, growth retardation, dysmorphic features and neurological involvement.
RNA modification landscape of the human mitochondrial tRNA(Lys) regulates protein synthesis.
The human Obg protein GTPBP10 is involved in mitoribosomal biogenesis.
The Pseudouridine Synthase RPUSD4 Is an Essential Component of Mitochondrial RNA Granules.
CLUH couples mitochondrial distribution to the energetic and metabolic status.
A pseudouridine synthase module is essential for mitochondrial protein synthesis and cell viability.
Quality control of mitochondrial protein synthesis is required for membrane integrity and cell fitness.
Mitochondrial RNA Granules Are Centers for Posttranscriptional RNA Processing and Ribosome Biogenesis.
The Human Mitochondrial DEAD-Box Protein DDX28 Resides in RNA Granules and Functions in Mitoribosome Assembly.
A bifunctional protein regulates mitochondrial protein synthesis.
MPV17L2 is required for ribosome assembly in mitochondria.
The mitochondrial RNA-binding protein GRSF1 localizes to RNA granules and is required for posttranscriptional mitochondrial gene expression.
Transcription-independent role for human mitochondrial RNA polymerase in mitochondrial ribosome biogenesis.
MRPS27 is a pentatricopeptide repeat domain protein required for the translation of mitochondrially encoded proteins.
AFG3L2 supports mitochondrial protein synthesis and Purkinje cell survival.
Mitochondrial ribosomal protein L12 selectively associates with human mitochondrial RNA polymerase to activate transcription.
Albus CA, Berlinguer-Palmini R, Chrzanowska-Lightowlers ZM, Lightowlers RN
Methods in molecular biology (Clifton, N.J.) 2023;2661:303-316
Methods in molecular biology (Clifton, N.J.) 2023;2661:303-316
Isolating Mitochondria, Mitoplasts, and mtDNA from Cultured Mammalian Cells.
Menger KE, Nicholls TJ
Methods in molecular biology (Clifton, N.J.) 2023;2615:17-30
Methods in molecular biology (Clifton, N.J.) 2023;2615:17-30
Mitochondrial RNA methyltransferase TRMT61B is a new, potential biomarker and therapeutic target for highly aneuploid cancers.
Martín A, Epifano C, Vilaplana-Marti B, Hernández I, Macías RIR, Martínez-Ramírez Á, Cerezo A, Cabezas-Sainz P, Garranzo-Asensio M, Amarilla-Quintana S, Gómez-Domínguez D, Caleiras E, Camps J, Gómez-López G, Gómez de Cedrón M, Ramírez de Molina A, Barderas R, Sánchez L, Velasco-Miguel S, Pérez de Castro I
Cell death and differentiation 2023 Jan;30(1):37-53
Cell death and differentiation 2023 Jan;30(1):37-53
Mitochondrial Protein SLIRP Affects Biosynthesis of Cytochrome c Oxidase Subunits in HEK293T Cells.
Baleva MV, Piunova U, Chicherin I, Vasilev R, Levitskii S, Kamenski P
International journal of molecular sciences 2023 Dec 20;25(1)
International journal of molecular sciences 2023 Dec 20;25(1)
The ribosome inhibitor chloramphenicol induces motility deficits in human spermatozoa: A proteomic approach identifies potentially involved proteins.
Bisconti M, Leroy B, Gallagher MT, Senet C, Martinet B, Arcolia V, Wattiez R, Kirkman-Brown JC, Simon JF, Hennebert E
Frontiers in cell and developmental biology 2022;10:965076
Frontiers in cell and developmental biology 2022;10:965076
Pentatricopeptide Protein PTCD2 Regulates COIII Translation in Mitochondria of the HeLa Cell Line.
Baleva MV, Chicherin I, Piunova U, Zgoda V, Patrushev MV, Levitskii S, Kamenski P
International journal of molecular sciences 2022 Nov 17;23(22)
International journal of molecular sciences 2022 Nov 17;23(22)
Nonstop mRNAs generate a ground state of mitochondrial gene expression noise.
Ng KY, Lutfullahoglu Bal G, Richter U, Safronov O, Paulin L, Dunn CD, Paavilainen VO, Richer J, Newman WG, Taylor RW, Battersby BJ
Science advances 2022 Nov 16;8(46):eabq5234
Science advances 2022 Nov 16;8(46):eabq5234
Translation of MT-ATP6 pathogenic variants reveals distinct regulatory consequences from the co-translational quality control of mitochondrial protein synthesis.
Ng KY, Richter U, Jackson CB, Seneca S, Battersby BJ
Human molecular genetics 2022 Apr 22;31(8):1230-1241
Human molecular genetics 2022 Apr 22;31(8):1230-1241
Sucrose Gradient Sedimentation Analysis of Mitochondrial Ribosomes.
Choi A, Barrientos A
Methods in molecular biology (Clifton, N.J.) 2021;2192:211-226
Methods in molecular biology (Clifton, N.J.) 2021;2192:211-226
Mitochondrial Translation Occurs Preferentially in the Peri-Nuclear Mitochondrial Network of Cultured Human Cells.
Albus CA, Berlinguer-Palmini R, Hewison C, McFarlane F, Savu EA, Lightowlers RN, Chrzanowska-Lightowlers ZM, Zorkau M
Biology 2021 Oct 15;10(10)
Biology 2021 Oct 15;10(10)
Mitochondrial stress response triggered by defects in protein synthesis quality control.
Richter U, Ng KY, Suomi F, Marttinen P, Turunen T, Jackson C, Suomalainen A, Vihinen H, Jokitalo E, Nyman TA, Isokallio MA, Stewart JB, Mancini C, Brusco A, Seneca S, Lombès A, Taylor RW, Battersby BJ
Life science alliance 2019 Feb;2(1)
Life science alliance 2019 Feb;2(1)
A variant in MRPS14 (uS14m) causes perinatal hypertrophic cardiomyopathy with neonatal lactic acidosis, growth retardation, dysmorphic features and neurological involvement.
Jackson CB, Huemer M, Bolognini R, Martin F, Szinnai G, Donner BC, Richter U, Battersby BJ, Nuoffer JM, Suomalainen A, Schaller A
Human molecular genetics 2019 Feb 15;28(4):639-649
Human molecular genetics 2019 Feb 15;28(4):639-649
RNA modification landscape of the human mitochondrial tRNA(Lys) regulates protein synthesis.
Richter U, Evans ME, Clark WC, Marttinen P, Shoubridge EA, Suomalainen A, Wredenberg A, Wedell A, Pan T, Battersby BJ
Nature communications 2018 Sep 27;9(1):3966
Nature communications 2018 Sep 27;9(1):3966
The human Obg protein GTPBP10 is involved in mitoribosomal biogenesis.
Lavdovskaia E, Kolander E, Steube E, Mai MM, Urlaub H, Richter-Dennerlein R
Nucleic acids research 2018 Sep 19;46(16):8471-8482
Nucleic acids research 2018 Sep 19;46(16):8471-8482
The Pseudouridine Synthase RPUSD4 Is an Essential Component of Mitochondrial RNA Granules.
Zaganelli S, Rebelo-Guiomar P, Maundrell K, Rozanska A, Pierredon S, Powell CA, Jourdain AA, Hulo N, Lightowlers RN, Chrzanowska-Lightowlers ZM, Minczuk M, Martinou JC
The Journal of biological chemistry 2017 Mar 17;292(11):4519-4532
The Journal of biological chemistry 2017 Mar 17;292(11):4519-4532
CLUH couples mitochondrial distribution to the energetic and metabolic status.
Wakim J, Goudenege D, Perrot R, Gueguen N, Desquiret-Dumas V, Chao de la Barca JM, Dalla Rosa I, Manero F, Le Mao M, Chupin S, Chevrollier A, Procaccio V, Bonneau D, Logan DC, Reynier P, Lenaers G, Khiati S
Journal of cell science 2017 Jun 1;130(11):1940-1951
Journal of cell science 2017 Jun 1;130(11):1940-1951
A pseudouridine synthase module is essential for mitochondrial protein synthesis and cell viability.
Antonicka H, Choquet K, Lin ZY, Gingras AC, Kleinman CL, Shoubridge EA
EMBO reports 2017 Jan;18(1):28-38
EMBO reports 2017 Jan;18(1):28-38
Quality control of mitochondrial protein synthesis is required for membrane integrity and cell fitness.
Richter U, Lahtinen T, Marttinen P, Suomi F, Battersby BJ
The Journal of cell biology 2015 Oct 26;211(2):373-89
The Journal of cell biology 2015 Oct 26;211(2):373-89
Mitochondrial RNA Granules Are Centers for Posttranscriptional RNA Processing and Ribosome Biogenesis.
Antonicka H, Shoubridge EA
Cell reports 2015 Feb 17;10(6):920-932
Cell reports 2015 Feb 17;10(6):920-932
The Human Mitochondrial DEAD-Box Protein DDX28 Resides in RNA Granules and Functions in Mitoribosome Assembly.
Tu YT, Barrientos A
Cell reports 2015 Feb 17;10(6):854-864
Cell reports 2015 Feb 17;10(6):854-864
A bifunctional protein regulates mitochondrial protein synthesis.
Richman TR, Davies SM, Shearwood AM, Ermer JA, Scott LH, Hibbs ME, Rackham O, Filipovska A
Nucleic acids research 2014 May;42(9):5483-94
Nucleic acids research 2014 May;42(9):5483-94
MPV17L2 is required for ribosome assembly in mitochondria.
Dalla Rosa I, Durigon R, Pearce SF, Rorbach J, Hirst EM, Vidoni S, Reyes A, Brea-Calvo G, Minczuk M, Woellhaf MW, Herrmann JM, Huynen MA, Holt IJ, Spinazzola A
Nucleic acids research 2014 Jul;42(13):8500-15
Nucleic acids research 2014 Jul;42(13):8500-15
The mitochondrial RNA-binding protein GRSF1 localizes to RNA granules and is required for posttranscriptional mitochondrial gene expression.
Antonicka H, Sasarman F, Nishimura T, Paupe V, Shoubridge EA
Cell metabolism 2013 Mar 5;17(3):386-98
Cell metabolism 2013 Mar 5;17(3):386-98
Transcription-independent role for human mitochondrial RNA polymerase in mitochondrial ribosome biogenesis.
Surovtseva YV, Shadel GS
Nucleic acids research 2013 Feb 1;41(4):2479-88
Nucleic acids research 2013 Feb 1;41(4):2479-88
MRPS27 is a pentatricopeptide repeat domain protein required for the translation of mitochondrially encoded proteins.
Davies SM, Lopez Sanchez MI, Narsai R, Shearwood AM, Razif MF, Small ID, Whelan J, Rackham O, Filipovska A
FEBS letters 2012 Oct 19;586(20):3555-61
FEBS letters 2012 Oct 19;586(20):3555-61
AFG3L2 supports mitochondrial protein synthesis and Purkinje cell survival.
Almajan ER, Richter R, Paeger L, Martinelli P, Barth E, Decker T, Larsson NG, Kloppenburg P, Langer T, Rugarli EI
The Journal of clinical investigation 2012 Nov;122(11):4048-58
The Journal of clinical investigation 2012 Nov;122(11):4048-58
Mitochondrial ribosomal protein L12 selectively associates with human mitochondrial RNA polymerase to activate transcription.
Surovtseva YV, Shutt TE, Cotney J, Cimen H, Chen SY, Koc EC, Shadel GS
Proceedings of the National Academy of Sciences of the United States of America 2011 Nov 1;108(44):17921-6
Proceedings of the National Academy of Sciences of the United States of America 2011 Nov 1;108(44):17921-6
No comments: Submit comment
Supportive validation
- Submitted by
- Proteintech Group (provider)
- Main image

- Experimental details
- HeLa cells were subjected to SDS PAGE followed by western blot with 17280-1-AP(MRPS27 antibody) at dilution of 1:500
- Sample type
- cell line
Supportive validation
- Submitted by
- Proteintech Group (provider)
- Main image

- Experimental details
- Immunofluorescent analysis of HepG2 cells, using MRPS27 antibody 17280-1-AP at 1:25 dilution and Rhodamine-labeled goat anti-rabbit IgG (red).
- Sample type
- cell line
Supportive validation
- Submitted by
- Proteintech Group (provider)
- Main image

- Experimental details
- Immunohistochemical of paraffin-embedded human kidney using 17280-1-AP(MRPS27 antibody) at dilution of 1:100 (under 10x lens)
- Sample type
- tissue
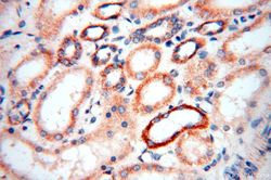
- Submitted by
- Proteintech Group (provider)
- Main image

- Experimental details
- Immunohistochemical of paraffin-embedded human kidney using 17280-1-AP(MRPS27 antibody) at dilution of 1:100 (under 40x lens)
- Sample type
- tissue