Antibody data
- Antibody Data
- Antigen structure
- References [0]
- Comments [0]
- Validations
- Immunocytochemistry [1]
- Immunohistochemistry [3]
Submit
Validation data
Reference
Comment
Report error
- Product number
- AM05527PU-T - Provider product page

- Provider
- Acris Antibodies GmbH
- Proper citation
- Acris Antibodies GmbH Cat#AM05527PU-T, RRID:AB_1613079
- Product name
- anti CD70
- Antibody type
- Monoclonal
- Antigen
- Other
- Reactivity
- Human
- Host
- Mouse
- Isotype
- IgG
- Antibody clone number
- Bu69
- Vial size
- 25 µg
- Concentration
- 1.0 mg/ml
No comments: Submit comment
Supportive validation
- Submitted by
- Acris Antibodies GmbH (provider)
- Main image

- Experimental details
- Immunofluorescence staining of a human tonsil cryosection with Mouse anti Human CD70 antibody, clone Bu69 (Cat.-No AM05527PU), red in A and Mouse anti Human CD21 antibody, clone LB21, green in B. C is the merged image with nuclei counterstained blue using DAPI. Low power.
Supportive validation
- Submitted by
- Acris Antibodies GmbH (provider)
- Main image

- Experimental details
- Immunoperoxidase staining of a human tonsil cryosection with Mouse anti Human CD70 antibody, clone Bu69 (Cat.-No AM05527PU) followed by the Histar setection system. Low power
- Submitted by
- Acris Antibodies GmbH (provider)
- Main image

- Experimental details
- Immunoperoxidase staining of a human tonsil cryosection with Mouse anti Human CD70 antibody, clone Bu69 (Cat.-No AM05527PU) followed by the Histar setection system. Medium power.
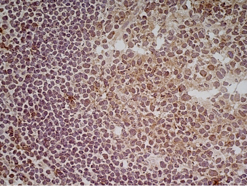
- Submitted by
- Acris Antibodies GmbH (provider)
- Main image

- Experimental details
- Immunoperoxidase staining of a human tonsil cryosection with Mouse anti Human CD70 antibody, clone Bu69 (Cat.-No AM05527PU) followed by the Histar setection system. High power.