Antibody data
- Antibody Data
- Antigen structure
- References [0]
- Comments [0]
- Validations
- Western blot [1]
- Immunocytochemistry [2]
- Immunohistochemistry [2]
Submit
Validation data
Reference
Comment
Report error
- Product number
- LS-C313136 - Provider product page

- Provider
- LSBio
- Product name
- TRAF2 Antibody (aa305-325) LS-C313136
- Antibody type
- Polyclonal
- Description
- Immunogen affinity purified
- Reactivity
- Human
- Host
- Rabbit
- Storage
- At -20°C for 1 year. After reconstitution, at 4°C for 1 month. It can also be aliquotted and stored frozen at -20°C for a longer time. Avoid freeze-thaw cycles.
No comments: Submit comment
Enhanced validation
- Submitted by
- LSBio (provider)
- Enhanced method
- Genetic validation
- Main image

- Experimental details
- WB of TRAP / TRAF2 antibody. Recombinant Protein Detection Source:. E.coli derived -recombinant Human TRAF2, 30.4KD. (162aa tag+ Q261-V369). . Lane1: Recombinant Human TRAF2 Protein 10ng. Lane2: Recombinant Human TRAF2 Protein 5ng. Lane3: Recombinant Human TRAF2 Protein 2.5ng..
Supportive validation
- Submitted by
- LSBio (provider)
- Enhanced method
- Genetic validation
- Main image

- Experimental details
- TRAP / TRAF2 antibody. ICC: HELA Cell.
- Submitted by
- LSBio (provider)
- Main image

- Experimental details
- TRAP / TRAF2 antibody. ICC: HELA Cell.
Supportive validation
- Submitted by
- LSBio (provider)
- Enhanced method
- Genetic validation
- Main image

- Experimental details
- TRAP / TRAF2 antibody. IHC(P): Human Tonsil Tissue.
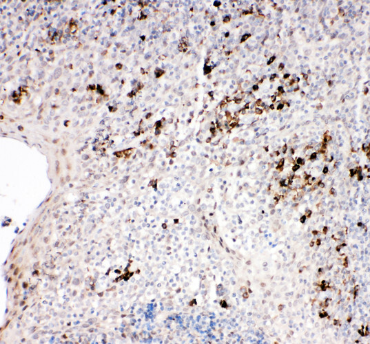
- Submitted by
- LSBio (provider)
- Enhanced method
- Genetic validation
- Main image

- Experimental details
- TRAP / TRAF2 antibody. IHC(P): Human Tonsil Tissue.