Antibody data
- Antibody Data
- Antigen structure
- References [0]
- Comments [0]
- Validations
- Western blot [1]
- Immunohistochemistry [1]
Submit
Validation data
Reference
Comment
Report error
- Product number
- GTX85658 - Provider product page

- Provider
- GeneTex
- Proper citation
- GeneTex Cat#GTX85658, RRID:AB_10722440
- Product name
- HUS1B antibody
- Antibody type
- Polyclonal
- Reactivity
- Human
- Host
- Rabbit
No comments: Submit comment
Supportive validation
- Submitted by
- GeneTex (provider)
- Main image

- Experimental details
- Western blot of affinity purified anti-Hus1B antibody shows detection of a 36kD band corresponding to Hus1B in a HeLa cell lysate (arrowhead). The staining pattern in 293 cells is less clear, showing a predominant band at 39 kD
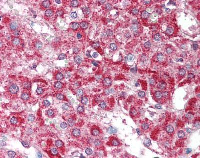
Supportive validation
- Submitted by
- GeneTex (provider)
- Main image

- Experimental details
- Human Adrenal (formalin-fixed, paraffin-embedded) stained with HUS1B antibody (GTX85658) at 5 ug/ml followed by biotinylated goat anti-rabbit IgG secondary antibody LS-D1, alkaline phosphatase-streptavidin and chromogen.