Antibody data
- Antibody Data
- Antigen structure
- References [0]
- Comments [0]
- Validations
- Western blot [1]
- Immunohistochemistry [4]
Submit
Validation data
Reference
Comment
Report error
- Product number
- LS-C354935 - Provider product page

- Provider
- LSBio
- Product name
- KRAS Antibody (C-Terminus, clone 9.13) LS-C354935
- Antibody type
- Monoclonal
- Description
- Protein A purified
- Reactivity
- Human, Mouse, Rat
- Host
- Mouse
- Isotype
- IgG
- Antibody clone number
- 9.13
- Storage
- Store at -20°C. Avoid freeze-thaw cycles.
No comments: Submit comment
Enhanced validation
- Submitted by
- LSBio (provider)
- Enhanced method
- Genetic validation
- Main image

- Experimental details
- K-Ras Antibody in Western Blot (WB)
Supportive validation
- Submitted by
- LSBio (provider)
- Enhanced method
- Genetic validation
- Main image

- Experimental details
- IHC (P) of K-Ras Antibody (9.13) showing staining in the cytoplasm and membrane of paraffin-embedded human prostate carcinoma (right) compared to a negative control without primary antibody (left).
- Submitted by
- LSBio (provider)
- Enhanced method
- Genetic validation
- Main image

- Experimental details
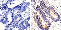
- IHC (P) using K-Ras Antibody (9.13) showing staining in the cytoplasm of paraffin-embedded human colon carcinoma (right) compared to a negative control without primary antibody (left).
- Submitted by
- LSBio (provider)
- Enhanced method
- Genetic validation
- Main image

- Experimental details
- IHC (P) of K-Ras Antibody (9.13) showing staining in the cytoplasm and membrane of paraffin-embedded human prostate carcinoma (right) compared to a negative control without primary antibody (left).
- Submitted by
- LSBio (provider)
- Enhanced method
- Genetic validation
- Main image

- Experimental details
- IHC (P) using K-Ras Antibody (9.13) showing staining in the cytoplasm of paraffin-embedded human colon carcinoma (right) compared to a negative control without primary antibody (left).