Antibody data
- Antibody Data
- Antigen structure
- References [2]
- Comments [0]
- Validations
- Western blot [1]
- Immunohistochemistry [2]
Submit
Validation data
Reference
Comment
Report error
- Product number
- 16739-1-AP - Provider product page

- Provider
- Proteintech Group
- Proper citation
- Proteintech Cat#16739-1-AP, RRID:AB_2201218
- Product name
- TASP1 antibody
- Antibody type
- Polyclonal
- Description
- TASP1 antibody (Cat. #16739-1-AP) is a rabbit polyclonal antibody that shows reactivity with human, mouse, rat and has been validated for the following applications: IF, IHC, WB,ELISA.
- Reactivity
- Human, Mouse, Rat
- Host
- Rabbit
- Conjugate
- Unconjugated
- Isotype
- IgG
- Vial size
- 20ul, 150ul
Submitted references Suleiman-El-Hattab syndrome: a histone modification disorder caused by TASP1 deficiency.
Overexpression of Taspase 1 Predicts Poor Prognosis in Patients with Hepatocellular Carcinoma.
Riedhammer KM, Burgemeister AL, Cantagrel V, Amiel J, Siquier-Pernet K, Boddaert N, Hertecant J, Kannouche PL, Pouvelle C, Htun S, Slavotinek AM, Beetz C, Diego-Alvarez D, Kampe K, Fleischer N, Awamleh Z, Weksberg R, Kopajtich R, Meitinger T, Suleiman J, El-Hattab AW
Human molecular genetics 2022 Sep 10;31(18):3083-3094
Human molecular genetics 2022 Sep 10;31(18):3083-3094
Overexpression of Taspase 1 Predicts Poor Prognosis in Patients with Hepatocellular Carcinoma.
Jiang J, Liu B, Liu R, Yang W
Cancer management and research 2021;13:2517-2537
Cancer management and research 2021;13:2517-2537
No comments: Submit comment
Supportive validation
- Submitted by
- Proteintech Group (provider)
- Main image

- Experimental details
- HEK-293 cells were subjected to SDS PAGE followed by western blot with 16739-1-AP(TASP1 antibody) at dilution of 1:500
- Sample type
- cell line
Supportive validation
- Submitted by
- Proteintech Group (provider)
- Main image

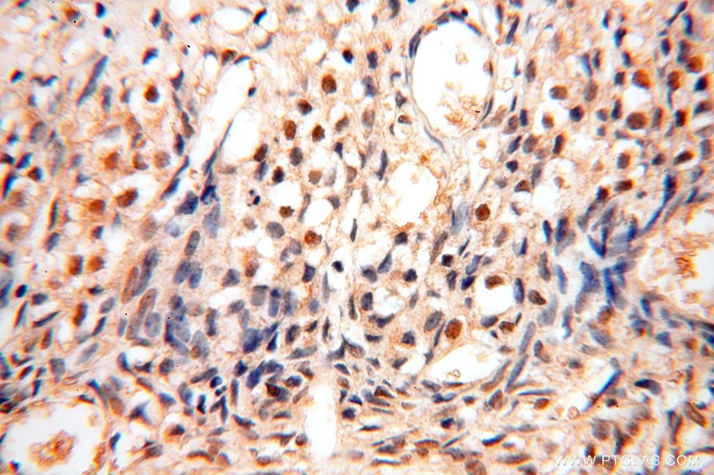
- Experimental details
- Immunohistochemical of paraffin-embedded human ovary using 16739-1-AP(TASP1 antibody) at dilution of 1:100 (under 10x lens)
- Sample type
- tissue
- Submitted by
- Proteintech Group (provider)
- Main image

- Experimental details
- The TASP1 antibody from Proteintech is a rabbit polyclonal antibody to a recombinant protein of human TASP1. This antibody recognizes human, mouse, rat antigen. The TASP1 antibody has been validated for the following applications: ELISA, WB, IHC analysis.