Antibody data
- Antibody Data
- Antigen structure
- References [0]
- Comments [0]
- Validations
- Western blot [1]
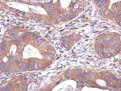
- Immunohistochemistry [1]
Submit
Validation data
Reference
Comment
Report error
- Product number
- NBP2-15644 - Provider product page

- Provider
- Novus Biologicals
- Product name
- Rabbit Polyclonal NDUFAF5 Antibody
- Antibody type
- Polyclonal
- Description
- Immunogen affinity purified.
- Reactivity
- Human
- Host
- Rabbit
- Isotype
- IgG
- Vial size
- 0.1 ml
- Storage
- Aliquot and store at -20C or -80C. Avoid freeze-thaw cycles.
No comments: Submit comment
Supportive validation
- Submitted by
- Novus Biologicals (provider)
- Main image

- Experimental details
- Western Blot: C20orf7 Antibody [NBP2-15644] - Sample (30 ug of whole cell lysate) A: IMR32 10% SDS PAGE gel, diluted at 1:2000.
Supportive validation
- Submitted by
- Novus Biologicals (provider)
- Main image

- Experimental details
- Immunohistochemistry-Paraffin: C20orf7 Antibody [NBP2-15644] - Immunohistochemical analysis of paraffin-embedded gastric ca, using antibody at 1:500 dilution.