Antibody data
- Antibody Data
- Antigen structure
- References [0]
- Comments [0]
- Validations
- Immunocytochemistry [1]
- Immunohistochemistry [4]
- Flow cytometry [1]
Submit
Validation data
Reference
Comment
Report error
- Product number
- TA500587 - Provider product page

- Provider
- OriGene
- Proper citation
- OriGene Cat#TA500587, RRID:AB_11126202
- Product name
- KDM4C mouse monoclonal antibody, clone OTI4B1 (formerly 4B1)
- Antibody type
- Monoclonal
- Description
- KDM4C mouse monoclonal antibody, clone OTI4B1 (formerly 4B1)
- Host
- Mouse
- Conjugate
- Unconjugated
- Epitope
- KDM4C
- Isotype
- IgG
- Antibody clone number
- OTI4B1
- Vial size
- 100 µl
- Concentration
- 1.3 mg/ml
No comments: Submit comment
Supportive validation
- Submitted by
- OriGene (provider)
- Main image

- Experimental details
- Anti-KDM4C mouse monoclonal antibody (TA500587) immunofluorescent staining of COS7 cells transiently transfected by pCMV6-ENTRY KDM4C(RC211182).
- Validation comment
- IF
Supportive validation
- Submitted by
- OriGene (provider)
- Main image

- Experimental details
- Immunohistochemical staining of paraffin-embedded Human prostate tissue within the normal limits using anti-KDM4C mouse monoclonal antibody. (Heat-induced epitope retrieval by 10mM citric buffer, pH6.0, 100C for 10min, TA500587)
- Validation comment
- IHC
- Submitted by
- OriGene (provider)
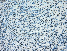
- Main image

- Experimental details
- Immunohistochemical staining of paraffin-embedded Human pancreas tissue within the normal limits using anti-KDM4C mouse monoclonal antibody. (Heat-induced epitope retrieval by 10mM citric buffer, pH6.0, 100C for 10min, TA500587)
- Validation comment
- IHC
- Submitted by
- OriGene (provider)
- Main image

- Experimental details
- Immunohistochemical staining of paraffin-embedded Human colon tissue within the normal limits using anti-KDM4C mouse monoclonal antibody. (Heat-induced epitope retrieval by 10mM citric buffer, pH6.0, 100C for 10min, TA500587)
- Validation comment
- IHC
- Submitted by
- OriGene (provider)
- Main image

- Experimental details
- Immunohistochemical staining of paraffin-embedded Human endometrium tissue within the normal limits using anti-KDM4C mouse monoclonal antibody. (Heat-induced epitope retrieval by 10mM citric buffer, pH6.0, 100C for 10min, TA500587)
- Validation comment
- IHC
Supportive validation
- Submitted by
- OriGene (provider)
- Main image

- Experimental details
- HEK293T cells transfected with either RC211182 overexpress plasmid(Red) or empty vector control plasmid(Blue) were immunostained by anti-KDM4C antibody(TA500587), and then analyzed by flow cytometry.
- Validation comment
- FC