Antibody data
- Antibody Data
- Antigen structure
- References [0]
- Comments [0]
- Validations
- Immunocytochemistry [2]
- Immunohistochemistry [4]
Submit
Validation data
Reference
Comment
Report error
- Product number
- PA5-59530 - Provider product page

- Provider
- Invitrogen Antibodies
- Product name
- NMRAL1 Polyclonal Antibody
- Antibody type
- Polyclonal
- Antigen
- Recombinant protein fragment
- Description
- Immunogen sequence: SVARTLLEDG TFKVRVVTRN PRKKAAKELR LQGAEVVQGD QDDQVIMELA LNGAYATFIV TNYWESCSQE QEVKQGKLLA DLARRLGLHY VVYS Highest antigen sequence identity to the following orthologs: Mouse - 80%, Rat - 85%.
- Reactivity
- Human
- Host
- Rabbit
- Isotype
- IgG
- Vial size
- 100 μL
- Concentration
- 0.05 mg/mL
- Storage
- Store at 4°C short term. For long term storage, store at -20°C, avoiding freeze/thaw cycles.
No comments: Submit comment
Supportive validation
- Submitted by
- Invitrogen Antibodies (provider)
- Main image

- Experimental details
- Immunofluorescent staining of NMRAL1 in human cell line MCF7 shows positivity in nucleus. Samples were probed using a NMRAL1 Polyclonal Antibody (Product # PA5-59530).
- Submitted by
- Invitrogen Antibodies (provider)
- Main image

- Experimental details
- Immunofluorecent analysis of NMRAL1 in human cell line MCF7 using NMRAL1 Polyclonal Antibody (Product # PA5-59530). Staining shows localization to nucleus.
Supportive validation
- Submitted by
- Invitrogen Antibodies (provider)
- Main image

- Experimental details
- Immunohistochemical analysis of NMRAL1 in human small intestine using NMRAL1 Polyclonal Antibody (Product # PA5-59530) shows strong cytoplasmic and membranous positivity in glandular cells.
- Submitted by
- Invitrogen Antibodies (provider)
- Main image

- Experimental details
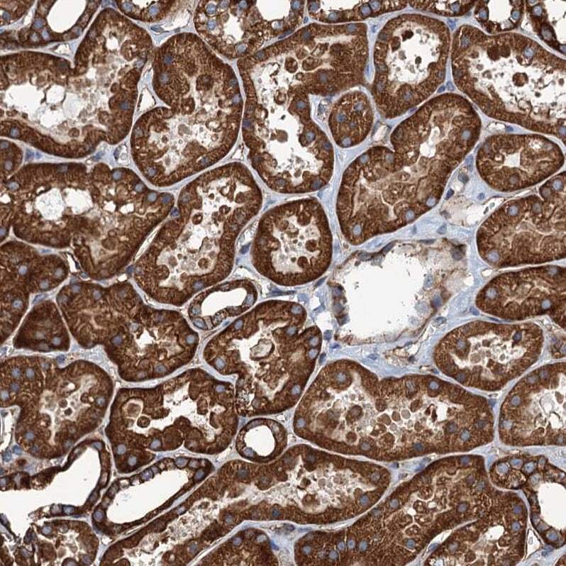
- Immunohistochemical analysis of NMRAL1 in human kidney using NMRAL1 Polyclonal Antibody (Product # PA5-59530) shows strong cytoplasmic positivity in cells in tubules.
- Submitted by
- Invitrogen Antibodies (provider)
- Main image

- Experimental details
- Immunohistochemical analysis of NMRAL1 in human pancreas using NMRAL1 Polyclonal Antibody (Product # PA5-59530) shows strong membranous positivity in exocrine glandular cells.
- Submitted by
- Invitrogen Antibodies (provider)
- Main image

- Experimental details
- Immunohistochemical analysis of NMRAL1 in human cerebral cortex using NMRAL1 Polyclonal Antibody (Product # PA5-59530) shows strong positivity in neuronal processes in neuropil.