Antibody data
- Antibody Data
- Antigen structure
- References [0]
- Comments [0]
- Validations
- Western blot [2]
- Immunohistochemistry [4]
Submit
Validation data
Reference
Comment
Report error
- Product number
- ABIN3061657 - Provider product page

- Provider
- antibodies-online
- Product name
- anti-P450 (Cytochrome) Oxidoreductase (POR) (AA 77-518) antibody
- Antibody type
- Polyclonal
- Description
- Antigen-specific affinity chromatography followed by Protein A affinity chromatography
- Reactivity
- Human
- Host
- Rabbit
- Epitope
- AA 77-518
- Vial size
- 10 μg
- Storage
- Store at 4°C for frequent use. Aliquot and store at -20°C for one year. Avoid repeated freeze/thaw cycles.
No comments: Submit comment
Supportive validation
- Submitted by
- antibodies-online (provider)
- Main image

- Experimental details
- WB
- Submitted by
- antibodies-online (provider)
- Main image

- Experimental details
- WB
Supportive validation
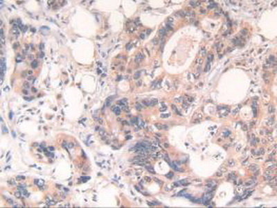
- Submitted by
- antibodies-online (provider)
- Main image

- Experimental details
- IHC
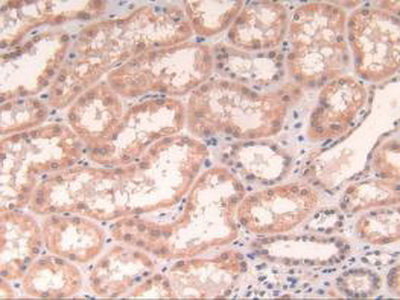
- Submitted by
- antibodies-online (provider)
- Main image

- Experimental details
- IHC
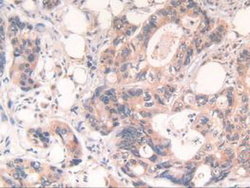
- Submitted by
- antibodies-online (provider)
- Main image

- Experimental details
- IHC
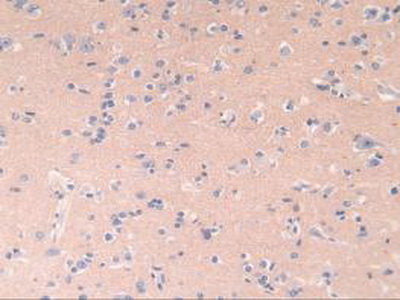
- Submitted by
- antibodies-online (provider)
- Main image

- Experimental details
- IHC