Antibody data
- Antibody Data
- Antigen structure
- References [0]
- Comments [0]
- Validations
- Western blot [2]
- Immunohistochemistry [10]
Submit
Validation data
Reference
Comment
Report error
- Product number
- NBP1-89488 - Provider product page

- Provider
- Novus Biologicals
- Proper citation
- Novus Cat#NBP1-89488, RRID:AB_11030190
- Product name
- Rabbit Polyclonal GRSF1 Antibody
- Antibody type
- Polyclonal
- Description
- Immunogen affinity purified. Specificity of human GRSF1 antibody verified on a Protein Array containing target protein plus 383 other non-specific proteins.
- Reactivity
- Human
- Host
- Rabbit
- Isotype
- IgG
- Vial size
- 0.1 ml
- Storage
- Store at 4C short term. Aliquot and store at -20C long term. Avoid freeze-thaw cycles.
No comments: Submit comment
Supportive validation
- Submitted by
- Novus Biologicals (provider)
- Main image

- Experimental details
- Western Blot: GRSF1 Antibody [NBP1-89488] - Analysis in human cell line MOLT-4.
- Submitted by
- Novus Biologicals (provider)
- Main image

- Experimental details
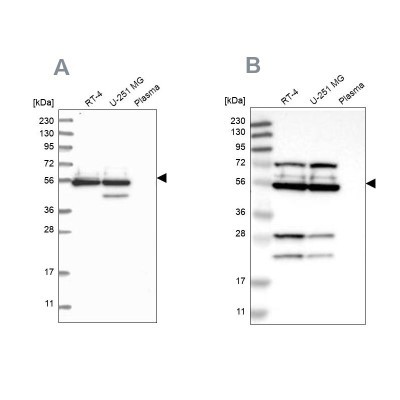
- Western Blot: GRSF1 Antibody [NBP1-89488] - Analysis using Anti-GRSF1 antibody NBP1-89488 (A) shows similar pattern to independent antibody NBP2-38341 (B).
Supportive validation
- Submitted by
- Novus Biologicals (provider)
- Main image

- Experimental details
- Immunohistochemistry-Paraffin: GRSF1 Antibody [NBP1-89488] - Staining of human adrenal gland shows high expression.
- Submitted by
- Novus Biologicals (provider)
- Main image

- Experimental details
- Immunohistochemistry-Paraffin: GRSF1 Antibody [NBP1-89488] - Staining of human pancreas shows low expression as expected.
- Submitted by
- Novus Biologicals (provider)
- Main image

- Experimental details
- Immunohistochemistry-Paraffin: GRSF1 Antibody [NBP1-89488] - Staining in human adrenal gland and pancreas tissues using anti-GRSF1 antibody. Corresponding GRSF1 RNA-seq data are presented for the same tissues.
- Submitted by
- Novus Biologicals (provider)
- Main image

- Experimental details
- Immunohistochemistry-Paraffin: GRSF1 Antibody [NBP1-89488] - Staining of human colon.
- Submitted by
- Novus Biologicals (provider)
- Main image

- Experimental details
- Immunohistochemistry-Paraffin: GRSF1 Antibody [NBP1-89488] - Staining of human lymph node.
- Submitted by
- Novus Biologicals (provider)
- Main image

- Experimental details
- Immunohistochemistry-Paraffin: GRSF1 Antibody [NBP1-89488] - Staining of human adrenal gland.
- Submitted by
- Novus Biologicals (provider)
- Main image

- Experimental details
- Immunohistochemistry-Paraffin: GRSF1 Antibody [NBP1-89488] - Staining of human colon shows strong granular cytoplasmic positivity in glandular cells.
- Submitted by
- Novus Biologicals (provider)
- Main image

- Experimental details
- Immunohistochemistry-Paraffin: GRSF1 Antibody [NBP1-89488] - Staining of human adrenal gland, colon, lymph node and pancreas using Anti-GRSF1 antibody NBP1-89488 (A) shows similar protein distribution across tissues to independent antibody NBP2-38341 (B).
- Submitted by
- Novus Biologicals (provider)
- Main image

- Experimental details
- Immunohistochemistry-Paraffin: GRSF1 Antibody [NBP1-89488] - Staining of human lymph node shows moderate granular cytoplasmic positivity in germinal center cells.
- Submitted by
- Novus Biologicals (provider)
- Main image

- Experimental details
- Immunohistochemistry-Paraffin: GRSF1 Antibody [NBP1-89488] - Staining of human testis shows weak to moderate granular cytoplasmic positivity in cells in seminiferous ducts.