Antibody data
- Antibody Data
- Antigen structure
- References [6]
- Comments [0]
- Validations
- Western blot [1]
- Immunohistochemistry [2]
Submit
Validation data
Reference
Comment
Report error
- Product number
- 15341-1-AP - Provider product page

- Provider
- Proteintech Group
- Proper citation
- Proteintech Cat#15341-1-AP, RRID:AB_2079046
- Product name
- CHST12 antibody
- Antibody type
- Polyclonal
- Description
- CHST12 antibody (Cat. #15341-1-AP) is a rabbit polyclonal antibody that shows reactivity with human, mouse, rat and has been validated for the following applications: IHC, WB,ELISA.
- Reactivity
- Human, Mouse, Rat
- Host
- Rabbit
- Conjugate
- Unconjugated
- Isotype
- IgG
- Vial size
- 20ul, 150ul
Submitted references Nano-elemental selenium particle developed via supramolecular self-assembly of chondroitin sulfate A and Na(2)SeO(3) to repair cartilage lesions.
Serious Selenium Deficiency in the Serum of Patients with Kashin-Beck Disease and the Effect of Nano-Selenium on Their Chondrocytes.
Abnormal expression of chondroitin sulfate sulfotransferases in the articular cartilage of pediatric patients with Kashin-Beck disease.
Decreased Expression of CHST-12, CHST-13, and UST in the Proximal Interphalangeal Joint Cartilage of School-Age Children with Kashin-Beck Disease: an Endemic Osteoarthritis in China Caused by Selenium Deficiency.
The effects of long-term low selenium diet on the expression of CHST-3, CHST-12 and UST in knee cartilage of growing rats.
Altered expression of chondroitin sulfate structure modifying sulfotransferases in the articular cartilage from adult osteoarthritis and Kashin-Beck disease.
Han J, Deng H, Li Y, Qiao L, Jia H, Zhang L, Wang L, Qu C
Carbohydrate polymers 2023 Sep 15;316:121047
Carbohydrate polymers 2023 Sep 15;316:121047
Serious Selenium Deficiency in the Serum of Patients with Kashin-Beck Disease and the Effect of Nano-Selenium on Their Chondrocytes.
Wang L, Yin J, Yang B, Qu C, Lei J, Han J, Guo X
Biological trace element research 2020 Mar;194(1):96-104
Biological trace element research 2020 Mar;194(1):96-104
Abnormal expression of chondroitin sulfate sulfotransferases in the articular cartilage of pediatric patients with Kashin-Beck disease.
Lei J, Yan S, Zhou Y, Wang L, Zhang J, Guo X, Lammi MJ, Han J, Qu C
Histochemistry and cell biology 2020 Mar;153(3):153-164
Histochemistry and cell biology 2020 Mar;153(3):153-164
Decreased Expression of CHST-12, CHST-13, and UST in the Proximal Interphalangeal Joint Cartilage of School-Age Children with Kashin-Beck Disease: an Endemic Osteoarthritis in China Caused by Selenium Deficiency.
Guo Y, Zhou Y, Yan S, Qu C, Wang L, Guo X, Han J
Biological trace element research 2019 Oct;191(2):276-285
Biological trace element research 2019 Oct;191(2):276-285
The effects of long-term low selenium diet on the expression of CHST-3, CHST-12 and UST in knee cartilage of growing rats.
Wang L, Guo X, Yi J, Qu C, Lei J, Guo Q, Han J
Journal of trace elements in medicine and biology : organ of the Society for Minerals and Trace Elements (GMS) 2018 Dec;50:123-129
Journal of trace elements in medicine and biology : organ of the Society for Minerals and Trace Elements (GMS) 2018 Dec;50:123-129
Altered expression of chondroitin sulfate structure modifying sulfotransferases in the articular cartilage from adult osteoarthritis and Kashin-Beck disease.
Han J, Li D, Qu C, Wang D, Wang L, Guo X, Lammi MJ
Osteoarthritis and cartilage 2017 Aug;25(8):1372-1375
Osteoarthritis and cartilage 2017 Aug;25(8):1372-1375
No comments: Submit comment
Supportive validation
- Submitted by
- Proteintech Group (provider)
- Main image

- Experimental details
- K-562 cells were subjected to SDS PAGE followed by western blot with 15341-1-AP(CHST12 antibody) at dilution of 1:1000
- Sample type
- cell line
Supportive validation
- Submitted by
- Proteintech Group (provider)
- Main image

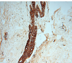
- Experimental details
- Immunohistochemical of paraffin-embedded human colon cancer using 15341-1-AP(CHST12 antibody) at dilution of 1:50 (under 10x lens)
- Sample type
- tissue
- Submitted by
- Proteintech Group (provider)
- Main image

- Experimental details
- The CHST12 antibody from Proteintech is a rabbit polyclonal antibody to a recombinant protein of human CHST12. This antibody recognizes human, mouse, rat antigen. The CHST12 antibody has been validated for the following applications: ELISA, WB, IHC analysis.