Antibody data
- Antibody Data
- Antigen structure
- References [0]
- Comments [0]
- Validations
- Immunocytochemistry [1]
- Immunohistochemistry [1]
Submit
Validation data
Reference
Comment
Report error
- Product number
- PAB20633 - Provider product page

- Provider
- Abnova Corporation
- Proper citation
- Abnova Corporation Cat#PAB20633, RRID:AB_10961866
- Product name
- C12orf39 polyclonal antibody
- Antibody type
- Polyclonal
- Antigen
- Recombinant protein corresponding to amino acids of human C12orf39.
- Reactivity
- Human
- Host
- Rabbit
- Antigen sequence
APQRLLERRNWTPQAMLYLKGAQGRRFISDQSRRK
DLSDRPLPERRSPNPQLLTIPEAATILLASLQKSP
EDEEKNFDQTRFLEDSLLNW- Isotype
- IgG
- Vial size
- 100 µl
- Storage
- Store at 4°C. For long term storage store at -20°C.Aliquot to avoid repeated freezing and thawing.
No comments: Submit comment
Supportive validation
- Submitted by
- Abnova Corporation (provider)
- Main image

- Experimental details
- Immunofluorescent staining of human cell line U-251 MG with C12orf39 polyclonal antibody (Cat # PAB20633) at 1-4 ug/mL dilution shows positivity in nucleus but not nucleoli, vesicles.
- Validation comment
- Immunofluorescence
Supportive validation
- Submitted by
- Abnova Corporation (provider)
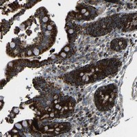
- Main image

- Experimental details
- Immunohistochemical staining of human colon with C12orf39 polyclonal antibody (Cat # PAB20633) shows strong cytoplasmic positivity, with a granular pattern, in glandular cells at 1:50-1:200 dilution.
- Validation comment
- Immunohistochemistry (Formalin/PFA-fixed paraffin-embedded sections)