Antibody data
- Antibody Data
- Antigen structure
- References [3]
- Comments [0]
- Validations
- Western blot [2]
- Immunohistochemistry [3]
Submit
Validation data
Reference
Comment
Report error
- Product number
- NBP1-88099 - Provider product page

- Provider
- Novus Biologicals
- Proper citation
- Novus Cat#NBP1-88099, RRID:AB_11024113
- Product name
- Rabbit Polyclonal Desmocollin-1 Antibody
- Antibody type
- Polyclonal
- Description
- Immunogen affinity purified. Specificity of human Desmocollin-1 antibody verified on a Protein Array containing target protein plus 383 other non-specific proteins.
- Reactivity
- Human
- Host
- Rabbit
- Isotype
- IgG
- Vial size
- 0.1 ml
- Storage
- Store at 4C short term. Aliquot and store at -20C long term. Avoid freeze-thaw cycles.
Submitted references EMSY expression affects multiple components of the skin barrier with relevance to atopic dermatitis.
Bioprinting of biomimetic skin containing melanocytes.
The impact of tissue fixatives on morphology and antibody-based protein profiling in tissues and cells.
Elias MS, Wright SC, Remenyi J, Abbott JC, Bray SE, Cole C, Edwards S, Gierlinski M, Glok M, McGrath JA, Nicholson WV, Paternoster L, Prescott AR, Have ST, Whitfield PD, Lamond AI, Brown SJ
The Journal of allergy and clinical immunology 2019 Aug;144(2):470-481
The Journal of allergy and clinical immunology 2019 Aug;144(2):470-481
Bioprinting of biomimetic skin containing melanocytes.
Min D, Lee W, Bae IH, Lee TR, Croce P, Yoo SS
Experimental dermatology 2018 May;27(5):453-459
Experimental dermatology 2018 May;27(5):453-459
The impact of tissue fixatives on morphology and antibody-based protein profiling in tissues and cells.
Paavilainen L, Edvinsson A, Asplund A, Hober S, Kampf C, Pontén F, Wester K
The journal of histochemistry and cytochemistry : official journal of the Histochemistry Society 2010 Mar;58(3):237-46
The journal of histochemistry and cytochemistry : official journal of the Histochemistry Society 2010 Mar;58(3):237-46
No comments: Submit comment
Supportive validation
- Submitted by
- Novus Biologicals (provider)
- Main image

- Experimental details
- Simple Western: Desmocollin-1 Antibody [NBP1-88099] - Simple Western lane view shows a specific band for Desmocollin-1 in 0.5 mg/ml of RT-4 (Left) and U-251MG (Right) lysate. This experiment was performed under reducing conditions using the 12-230 kDa separation system.
- Submitted by
- Novus Biologicals (provider)
- Main image

- Experimental details
- Simple Western: Desmocollin-1 Antibody [NBP1-88099] - Electropherogram image(s) of corresponding Simple Western lane view. Desmocollin-1 antibody was used at 1:60 dilution on RT-4 and U-251MG lysate(s).
Supportive validation
- Submitted by
- Novus Biologicals (provider)
- Main image

- Experimental details
- Immunohistochemistry-Paraffin: Desmocollin-1 Antibody [NBP1-88099] - Staining of human fallopian tube shows very weak membranous positivity in glandular cells.
- Submitted by
- Novus Biologicals (provider)
- Main image

- Experimental details
- Immunohistochemistry-Paraffin: Desmocollin-1 Antibody [NBP1-88099] - Staining of human skin shows moderate to strong membranous positivity in epidermal cells.
- Submitted by
- Novus Biologicals (provider)
- Main image

- Experimental details
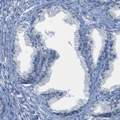
- Immunohistochemistry-Paraffin: Desmocollin-1 Antibody [NBP1-88099] - Staining of human prostate shows no membranous positivity in glandular cells.