Antibody data
- Antibody Data
- Antigen structure
- References [0]
- Comments [0]
- Validations
- Western blot [1]
- Immunohistochemistry [1]
Submit
Validation data
Reference
Comment
Report error
- Product number
- AP50666PU-N - Provider product page

- Provider
- Acris Antibodies GmbH
- Proper citation
- Acris Antibodies GmbH Cat#AP50666PU-N, RRID:AB_11146759
- Product name
- anti C7orf27 (Center)
- Antibody type
- Polyclonal
- Antigen
- KLH conjugated synthetic peptide between 632-660 amino acids from the Central region of human C7orf27
- Reactivity
- Human, Mouse
- Host
- Rabbit
- Vial size
- 0.1 mg
- Concentration
- 0.25 mg/ml
No comments: Submit comment
Supportive validation
- Submitted by
- Acris Antibodies GmbH (provider)
- Main image

- Experimental details
- C7orf27 Antibody (Center) (Cat. #AP50666PU-N) western blot analysis in mouse Neuro-2a cell line lysates (35µg/lane).This demonstrates the C7orf27 antibody detected the C7orf27 protein (arrow).
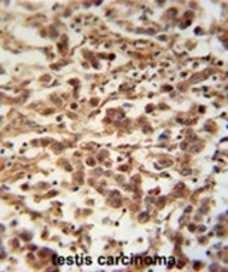
Supportive validation
- Submitted by
- Acris Antibodies GmbH (provider)
- Main image

- Experimental details
- C7orf27 antibody (Center) (Cat. #AP50666PU-N) immunohistochemistry analysis in formalin fixed and paraffin embedded human testis carcinoma followed by peroxidase conjugation of the secondary antibody and DAB staining. This data demonstrates the use of the C7orf27 antibody (Center) for immunohistochemistry. Clinical relevance has not been evaluated.